Phone:
+1 877 302 8632
Fax:
+1 888 205 9894 (Toll-free)
E-Mail:
orders@antibodies-online.com

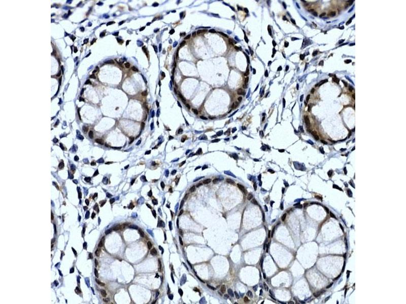
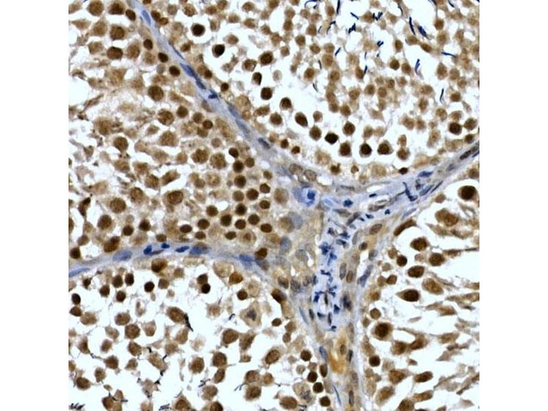
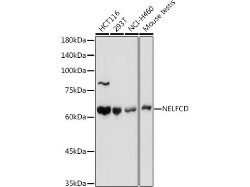
TH1-Like antibody (AA 355-599)

The Rabbit Polyclonal anti-TH1-Like antibody (ABIN1683024) specifically detects TH1-Like in WB and IHC. The antibody is reactive with Human samples.
Catalog No. ABIN1683024
$383.00
Plus shipping costs $50.00
Shipping to: United States
Delivery in 7 to 10 Business Days

Quick Overview for TH1-Like antibody (AA 355-599) (ABIN1683024)

Target

See all TH1-Like (TH1L) Antibodies
TH1-Like (TH1L)

Reactivity

  • 19
  • 3
  • 2
  • 2
  • 2
  • 2
  • 2
  • 2
  • 1
  • 1
  • 1
  • 1
  • 1
Human

Host

  • 15
  • 3
  • 1
Rabbit

Clonality

  • 18
  • 1
Polyclonal

Conjugate

  • 14
  • 1
  • 1
  • 1
  • 1
  • 1
This TH1-Like antibody is un-conjugated

Application

  • 18
  • 11
  • 2
  • 2
  • 1
Western Blotting (WB), Immunohistochemistry (IHC)
  • Binding Specificity

    • 8
    • 3
    • 2
    • 2
    • 1
    • 1
    • 1
    • 1
    • 1
    AA 355-599

    Sequence

    ARINQDHKHK YIHILAYAAS VVETWKKNKR VSINKDELKS TSKAVETVHN LCCNENKGAS ELVAELSTLY QCIRFPVVAM GVLKWVDWTV SEPRYFQLQT DHTPVHLALL DEISTCHQLL HPQVLQLLVK LFETEHSQLD VMEQLELKKT LLDRMVHLLS RGYVLPVVSY IRKCLEKLDT DISLIRYFVT EVLDVIAPPY TSDFVQLFLP ILENDSIAGT IKTEGEHDPV TEFIAHCKSN FIMVN

    Cross-Reactivity

    Human, Mouse, Rat

    Characteristics

    Polyclonal Antibodies

    Purification

    Affinity purification

    Immunogen

    Recombinant fusion protein containing a sequence corresponding to amino acids 355-599 of human NELFCD (NP_945327.2).

    Isotype

    IgG
  • Application Notes

    WB,1:500 - 1:2000,IHC,1:50 - 1:200

    Restrictions

    For Research Use only
  • Buffer

    PBS with 0.02 % sodium azide,50 % glycerol, pH 7.3.

    Preservative

    Sodium azide

    Precaution of Use

    This product contains Sodium azide: a POISONOUS AND HAZARDOUS SUBSTANCE which should be handled by trained staff only.

    Storage

    -20 °C

    Storage Comment

    Store at -20°C. Avoid freeze / thaw cycles.
  • Target

    TH1-Like (TH1L)

    Alternative Name

    NELFCD

    Background

    The NELF complex of proteins interacts with the DSIF protein complex to repress transcriptional elongation by RNA polymerase II. The protein encoded by this gene is an essential part of the NELF complex. Alternative translation initiation site usage results in the formation of two isoforms with different N-termini.,NELFCD,HSPC130,NELF-C,NELF-D,TH1,TH1L,Epigenetics & Nuclear Signaling,NELFCD

    Molecular Weight

    22 kDa/65 kDa/66 kDa

    Gene ID

    51497

    UniProt

    Q8IXH7
You are here:
Chat with us!