Phone:
+1 877 302 8632
Fax:
+1 888 205 9894 (Toll-free)
E-Mail:
orders@antibodies-online.com

PHF11 antibody (Internal Region)

The Goat Polyclonal anti-PHF11 antibody is suitable to detect PHF11 in samples from Human. It has been validated for WB and ELISA.
Catalog No. ABIN1686788
$488.25
Plus shipping costs $50.00
100 μg
Shipping to: United States
Delivery in 1 to 3 Business Days

Quick Overview for PHF11 antibody (Internal Region) (ABIN1686788)

Target

See all PHF11 Antibodies
PHF11 (PHD Finger Protein 11 (PHF11))

Reactivity

  • 17
  • 3
  • 2
  • 2
  • 2
  • 1
  • 1
Human

Host

  • 13
  • 4
Goat

Clonality

  • 15
  • 2
Polyclonal

Conjugate

  • 17
This PHF11 antibody is un-conjugated

Application

  • 16
  • 6
  • 6
  • 4
  • 1
  • 1
Western Blotting (WB), ELISA

Grade

Verified
  • Binding Specificity

    • 4
    • 3
    • 1
    • 1
    • 1
    • 1
    • 1
    • 1
    • 1
    Internal Region

    Purpose

    PHF11

    Sequence

    KIHASQQRWQ QLKE

    Specificity

    This antibody is expected to recognize both reported isoforms (NP_001035533.1, NP_001035534.1).

    Cross-Reactivity

    Human

    Purification

    Purified from goat serum by ammonium sulphate precipitation followed by antigen affinity chromatography using the immunizing peptide.

    Isotype

    IgG
  • Application Notes

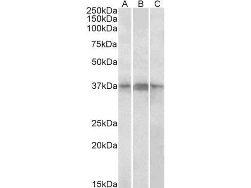
    Western Blot: Approx 37 kDa band observed in nuclear lysates of cell lines Daudi, Jurkat and Jurkat (calculated MW of 37.6 kDa according to NP_001035533.1). Recommended concentration: 1-3 μg/mL.

    Peptide ELISA: antibody detection limit dilution 1:16000.

    Restrictions

    For Research Use only
  • Format

    Liquid

    Concentration

    0.5 mg/mL

    Buffer

    Supplied at 0.5 mg/mL in Tris saline, 0.02 % sodium azide, pH 7.3 with 0.5 % bovine serum albumin.

    Preservative

    Sodium azide

    Precaution of Use

    This product contains Sodium azide: a POISONOUS AND HAZARDOUS SUBSTANCE which should be handled by trained staff only.

    Handling Advice

    Minimize freezing and thawing.

    Storage

    -20 °C

    Storage Comment

    Aliquot and store at -20°C, with minimal freeze/thawing. A working aliquot may be refrigerated at 4°C for a few weeks and still remain viable.
  • Target

    PHF11 (PHD Finger Protein 11 (PHF11))

    Alternative Name

    PHF11

    Background

    PHF11, PHD finger protein 11, APY, BCAP, IGEL, IGER, IGHER, NY-REN-34, NYREN34, RP11-185C18.3, IgE responsiveness (atopic), NY-REN-34 antigen

    Molecular Weight

    37 kDa

    Gene ID

    51131

    NCBI Accession

    NP_001035533, NP_001035534
You are here:
Chat with us!