Phone:
+1 877 302 8632
Fax:
+1 888 205 9894 (Toll-free)
E-Mail:
orders@antibodies-online.com

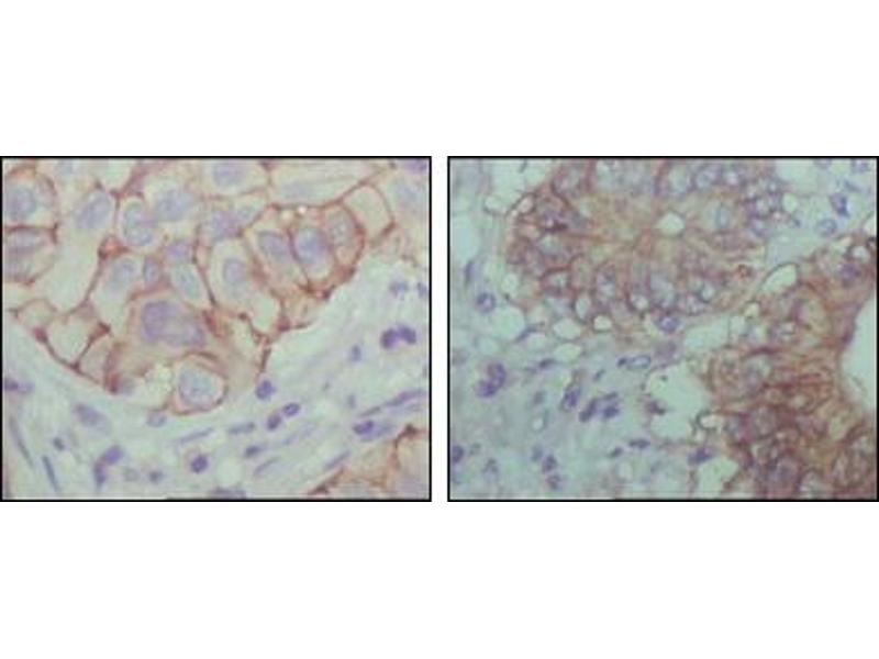
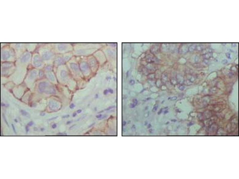
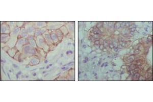
EhpB1 (AA 19-133) antibody

There are 2+ publications for this product available. The Mouse Monoclonal anti-EhpB1 antibody is suitable to detect EhpB1 in samples from Human. It has been validated for IHC, ELISA and WB.
Catalog No. ABIN1724690
$563.89
Plus shipping costs $50.00
100 μL
Shipping to: United States
Delivery in 3 to 5 Business Days

Quick Overview for EhpB1 (AA 19-133) antibody (ABIN1724690)

Target

EhpB1

Reactivity

Human

Host

Mouse

Clonality

Monoclonal

Application

Immunohistochemistry (IHC), ELISA, Western Blotting (WB)

Clone

5F10A4
  • Binding Specificity

    AA 19-133

    Purpose

    EhpB1 Antibody

    Purification

    Ascitic fluid

    Immunogen

    Purified recombinant fragment of EphB1 (aa19-133) expressed in E. Coli.

    Isotype

    IgG1
  • Application Notes

    ELISA: 1/10000

    Restrictions

    For Research Use only
  • Format

    Liquid

    Buffer

    Ascitic fluid containing 0.03 % sodium azide.

    Preservative

    Sodium azide

    Precaution of Use

    This product contains Sodium azide: a POISONOUS AND HAZARDOUS SUBSTANCE which should be handled by trained staff only.

    Storage

    4 °C,-20 °C

    Storage Comment

    Store at 4°C short term. Aliquot and store at -20°C long term. Avoid freeze/thaw cycles.
  • Huynh-Do, Vindis, Liu, Cerretti, McGrew, Enriquez, Chen, Daniel: "Ephrin-B1 transduces signals to activate integrin-mediated migration, attachment and angiogenesis." in: Journal of cell science, Vol. 115, Issue Pt 15, pp. 3073-81, (2002) (PubMed).

    Prevost, Woulfe, Tanaka, Brass: "Interactions between Eph kinases and ephrins provide a mechanism to support platelet aggregation once cell-to-cell contact has occurred." in: Proceedings of the National Academy of Sciences of the United States of America, Vol. 99, Issue 14, pp. 9219-24, (2002) (PubMed).

  • Target

    EhpB1

    Background

    EhpB1: EPH receptor B1. It is a receptor for ephrin-B family members. Ephrin receptors and their ligands, the ephrins, medate numerous developmental processes, particularly in the nervous system. Based on their structures and sequence relationships, ephrins are divided into the ephrin-A (EFNA) class, which are anchored to the membrane by a glycosylphosphatidylinositol linkage, and the ephrin-B (EFNB) class, which are transmembrane proteins. The Eph family of receptors are divided into 2 groups based on the similarity of their extracellular domain sequences and their affinities for binding ephrin-A and ephrin-B ligands. Ephrin receptors make up the largest subgroup of the receptor tyrosine kinase (RTK) family.

    Molecular Weight

    110 kDa

    UniProt

    P54762
You are here:
Chat with us!