Phone:
+1 877 302 8632
Fax:
+1 888 205 9894 (Toll-free)
E-Mail:
orders@antibodies-online.com

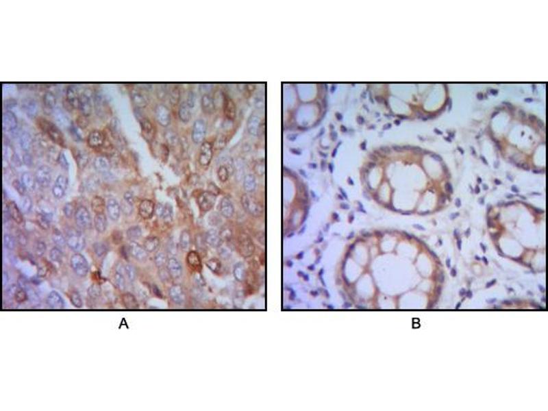
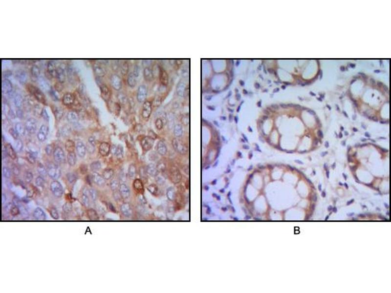
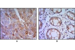
HSC70 Interacting Protein HIP antibody

This Mouse Monoclonal antibody specifically detects HSC70 Interacting Protein HIP in WB, ELISA, IHC and ICC. It exhibits reactivity toward Human and Monkey.It has been mentioned in 1 publication
Catalog No. ABIN1724716
$358.86
Plus shipping costs $50.00
100 μL
Shipping to: United States
Delivery in 3 to 5 Business Days

Quick Overview for HSC70 Interacting Protein HIP antibody (ABIN1724716)

Target

See all HSC70 Interacting Protein HIP (ST13) Antibodies
HSC70 Interacting Protein HIP (ST13) (Suppression of Tumorigenicity 13 (ST13))

Reactivity

  • 58
  • 27
  • 4
  • 2
  • 2
  • 2
  • 1
  • 1
  • 1
  • 1
Human, Monkey

Host

  • 48
  • 11
Mouse

Clonality

  • 37
  • 22
Monoclonal

Conjugate

  • 31
  • 3
  • 2
  • 2
  • 1
  • 1
  • 1
  • 1
  • 1
  • 1
  • 1
  • 1
  • 1
  • 1
  • 1
  • 1
  • 1
  • 1
  • 1
  • 1
  • 1
  • 1
  • 1
  • 1
  • 1
This HSC70 Interacting Protein HIP antibody is un-conjugated

Application

  • 58
  • 18
  • 16
  • 14
  • 14
  • 14
  • 13
  • 12
  • 6
  • 3
  • 2
Western Blotting (WB), ELISA, Immunohistochemistry (IHC), Immunocytochemistry (ICC)

Clone

3B10
  • Purpose

    ST13 Antibody

    Purification

    Ascitic fluid

    Immunogen

    Purified recombinant fragment of human ST13 expressed in E. Coli.

    Isotype

    IgG1
  • Application Notes

    ELISA: 1/10000

    ICC: 1/200 - 1/1000

    Restrictions

    For Research Use only
  • Format

    Liquid

    Buffer

    Ascitic fluid containing 0.03 % sodium azide.

    Preservative

    Sodium azide

    Precaution of Use

    This product contains Sodium azide: a POISONOUS AND HAZARDOUS SUBSTANCE which should be handled by trained staff only.

    Storage

    4 °C,-20 °C

    Storage Comment

    Store at 4°C short term. Aliquot and store at -20°C long term. Avoid freeze/thaw cycles.
  • Zhou, Lucas, Chan, Issaq, Petricoin, Liotta, Veenstra, Conrads: "An investigation into the human serum "interactome"." in: Electrophoresis, Vol. 25, Issue 9, pp. 1289-98, (2004) (PubMed).

  • Target

    HSC70 Interacting Protein HIP (ST13) (Suppression of Tumorigenicity 13 (ST13))

    Alternative Name

    ST13

    Background

    ST13 (suppression of tumorigenicity protein 13), also known as Hip (HSP70-interacting protein), is one of several co-chaperones that regulate activities of the HSP70 chaperone family. The homo-oligomeric protein Hip cooperates with HSP70 in protein folding by stabilizing the ADP-bound state of HSP70. Hip directly binds to the ATPase domain of HSP70 when it is converted to the ADP-bound state by proteins of the HSP40 family. By collaborating with other positive co-factors such as HSP40 and Hop, or competing with negative co-factors such as Bag1, Hip may facilitate the chaperone function of HSP70 in protein folding and repair, and in controlling the activity of regulatory proteins such as steroid receptors and various regulators of proliferation or apoptosis.

    Molecular Weight

    48 kDa

    Gene ID

    6767

    UniProt

    P50502
You are here:
Chat with us!