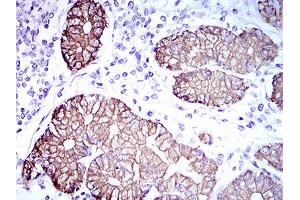
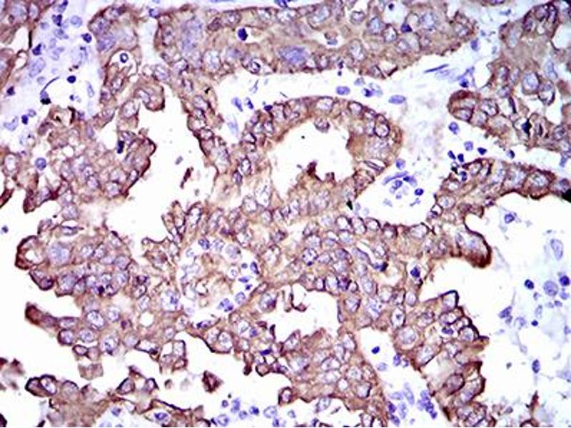
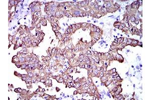
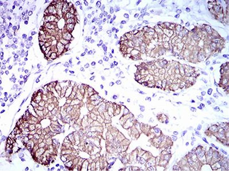
Cytokeratin 5 antibody (AA 316-590)
Quick Overview for Cytokeratin 5 antibody (AA 316-590) (ABIN1724835)
Target
See all Cytokeratin 5 (KRT5) AntibodiesReactivity
Host
Clonality
Conjugate
Application
Clone
-
-
Binding Specificity
- AA 316-590
-
Purpose
- CK5 Antibody
-
Purification
- Purified antibody
-
Immunogen
- Purified recombinant fragment of human CK5 (AA: 316-590) expressed in E. Coli.
-
Isotype
- IgG1
-
-
-
-
Application Notes
-
ELISA: 1/10000
FCM: 1/200 - 1/400
-
Restrictions
- For Research Use only
-
-
-
Format
- Liquid
-
Buffer
- Purified antibody in PBS with 0.05 % sodium azide.
-
Preservative
- Sodium azide
-
Precaution of Use
- This product contains Sodium azide: a POISONOUS AND HAZARDOUS SUBSTANCE which should be handled by trained staff only.
-
Storage
- 4 °C,-20 °C
-
Storage Comment
- Store at 4°C short term. Aliquot and store at -20°C long term. Avoid freeze/thaw cycles.
-
-
-
: "Epidermolysis bullosa nevus arising in a patient with Dowling-Meara type epidermolysis bullosa simplex with a novel K5 mutation." in: The Journal of dermatology, Vol. 36, Issue 8, pp. 447-52, (2009) (PubMed).
: "Cytokeratin 5 and estrogen receptor immunohistochemistry as a useful adjunct in identifying atypical papillary lesions on breast needle core biopsy." in: The American journal of surgical pathology, Vol. 33, Issue 11, pp. 1615-23, (2009) (PubMed).
-
-
- Cytokeratin 5 (KRT5) (Keratin 5 (KRT5))
-
Alternative Name
- CK5
-
Background
- The protein encoded by this gene is a member of the keratin gene family. The type II cytokeratins consist of basic or neutral proteins which are arranged in pairs of heterotypic keratin chains coexpressed during differentiation of simple and stratified epithelial tissues. This type II cytokeratin is specifically expressed in the basal layer of the epidermis with family member KRT14. Mutations in these genes have been associated with a complex of diseases termed epidermolysis bullosa simplex. The type II cytokeratins are clustered in a region of chromosome 12q12-q13.
-
Molecular Weight
- 62.3 kDa
-
Gene ID
- 3852
-
UniProt
- P13647
Target
-