Phone:
+1 877 302 8632
Fax:
+1 888 205 9894 (Toll-free)
E-Mail:
orders@antibodies-online.com

ALDOA antibody (Internal Region)

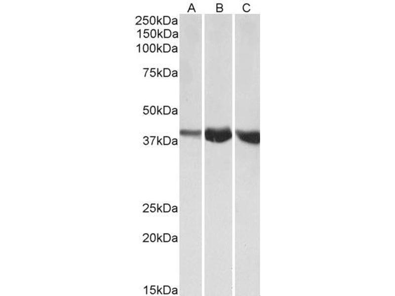
The Goat Polyclonal anti-ALDOA antibody (ABIN1782162) specifically detects ALDOA in WB and ELISA. The antibody is reactive with Human, Mouse and Rat samples.
Catalog No. ABIN1782162
$488.25
Plus shipping costs $50.00
100 μg
Shipping to: United States
Delivery in 1 to 3 Business Days

Quick Overview for ALDOA antibody (Internal Region) (ABIN1782162)

Target

See all ALDOA Antibodies
ALDOA (Aldolase A, Fructose-Bisphosphate (ALDOA))

Reactivity

  • 86
  • 35
  • 31
  • 17
  • 5
  • 2
  • 2
  • 2
  • 2
  • 2
  • 1
  • 1
  • 1
Human, Mouse, Rat

Host

  • 66
  • 13
  • 11
  • 2
Goat

Clonality

  • 72
  • 19
Polyclonal

Conjugate

  • 63
  • 7
  • 6
  • 3
  • 2
  • 2
  • 2
  • 2
  • 2
  • 2
  • 1
This ALDOA antibody is un-conjugated

Application

  • 73
  • 41
  • 27
  • 24
  • 15
  • 11
  • 9
  • 7
  • 7
  • 2
  • 2
  • 2
  • 1
  • 1
  • 1
  • 1
Western Blotting (WB), ELISA

Grade

Verified
  • Binding Specificity

    • 11
    • 6
    • 6
    • 3
    • 3
    • 2
    • 2
    • 2
    • 2
    • 1
    • 1
    • 1
    • 1
    • 1
    • 1
    • 1
    • 1
    • 1
    • 1
    • 1
    Internal Region

    Purpose

    ALDOA

    Sequence

    NSLACQGKYT PSGQ

    Specificity

    This antibody is expected to recognize both reported isoforms (P_000025.1, NP_001230106.1). Reported variants represent identical protein: NP_908930.1, NP_908932.1, NP_001121089.1, NP_000025.1.

    Cross-Reactivity

    Cow, Dog, Human, Mouse, Rat

    Purification

    Purified from goat serum by ammonium sulphate precipitation followed by antigen affinity chromatography using the immunizing peptide.

    Isotype

    IgG
  • Application Notes

    Western Blot: Approx 38 kDa band observed in Human, Mouse and Rat Skeletal Muscle lysates (calculated MW of 39.4 kDa according to NP_000025.1). Recommended concentration: 1-3 μg/mL.

    Peptide ELISA: antibody detection limit dilution 1:32000.

    Restrictions

    For Research Use only
  • Format

    Liquid

    Concentration

    0.5 mg/mL

    Buffer

    Supplied at 0.5 mg/mL in Tris saline, 0.02 % sodium azide, pH 7.3 with 0.5 % bovine serum albumin.

    Preservative

    Sodium azide

    Precaution of Use

    This product contains Sodium azide: a POISONOUS AND HAZARDOUS SUBSTANCE which should be handled by trained staff only.

    Handling Advice

    Minimize freezing and thawing.

    Storage

    -20 °C

    Storage Comment

    Aliquot and store at -20°C, with minimal freeze/thawing. A working aliquot may be refrigerated at 4°C for a few weeks and still remain viable.
  • Target

    ALDOA (Aldolase A, Fructose-Bisphosphate (ALDOA))

    Alternative Name

    ALDOA

    Background

    ALDOA, aldolase A, fructose-bisphosphate, ALDA, GSD12, fructose-1,6-bisphosphate triosephosphate-lyase, fructose-bisphosphate aldolase A, lung cancer antigen NY-LU-1, muscle-type aldolase

    Molecular Weight

    Expected molecular weight 38 kDa

    Gene ID

    226, 11674, 24189

    NCBI Accession

    NP_000025, NP_001230106

    Pathways

    Ribonucleoside Biosynthetic Process
You are here:
Chat with us!