Phone:
+1 877 302 8632
Fax:
+1 888 205 9894 (Toll-free)
E-Mail:
orders@antibodies-online.com

UBC antibody (AA 36-66)

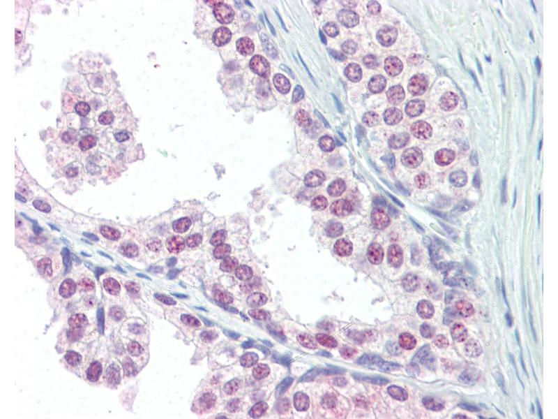
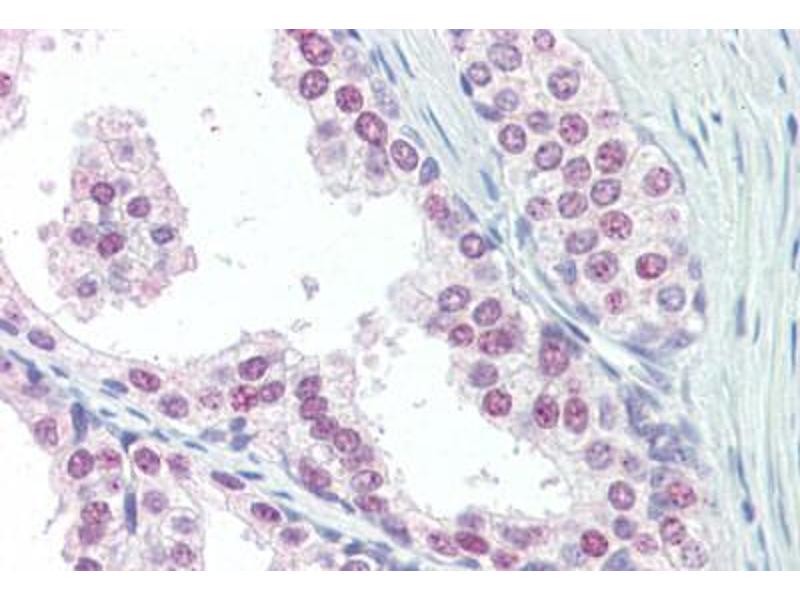
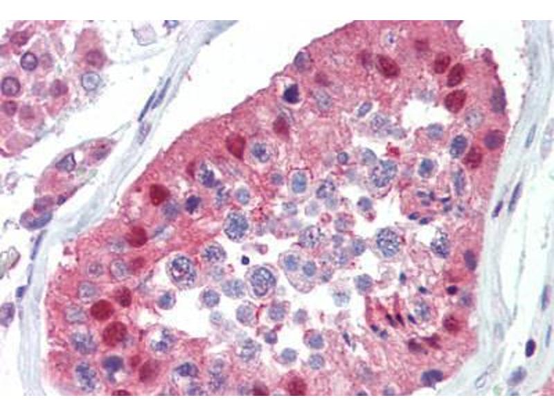
The Rabbit Polyclonal anti-UBC antibody is suitable to detect UBC in samples from Human. It has been validated for WB, IHC, IF and IHC (p).
Catalog No. ABIN1804046
$572.00
Plus shipping costs $50.00
200 μL
Shipping to: United States
Delivery in 11 to 15 Business Days

Quick Overview for UBC antibody (AA 36-66) (ABIN1804046)

Target

See all UBC Antibodies
UBC (Ubiquitin C (UBC))

Reactivity

  • 17
  • 2
  • 2
Human

Host

  • 14
  • 3
Rabbit

Clonality

  • 14
  • 3
Polyclonal

Conjugate

  • 14
  • 1
  • 1
  • 1
This UBC antibody is un-conjugated

Application

  • 11
  • 8
  • 6
  • 4
  • 2
  • 2
  • 1
Western Blotting (WB), Immunohistochemistry (IHC), Immunofluorescence (IF), Immunohistochemistry (Paraffin-embedded Sections) (IHC (p))
  • Binding Specificity

    • 4
    • 3
    • 3
    • 1
    • 1
    AA 36-66

    Specificity

    This Ubiquitin antibody is generated from rabbits immunized with a KLH conjugated synthetic peptide between 36-66 amino acids of human Ubiquitin.

    Purification

    Ammonium sulfate precipitation
  • Application Notes

    Approved: IF (1:10 - 1:50), IHC, IHC-P (10 μg/mL), WB (1:1000)

    Usage: Immunohistochemistry: This antibody was validated for use in immunohistochemistry on a panel of 21 formalin-fixed, paraffin-embedded (FFPE) human tissues after heat induced antigen retrieval in  pH 6.0 citrate buffer. After incubation with the primary antibody, slides were incubated with biotinylated secondary antibody, followed by alkaline phosphatase-streptavidin and chromogen. The stained slides were evaluated by a pathologist to confirm staining specificity. The optimal working concentration for this antibody was determined to be 10 μg/mL.

    Comment

    Target Species of Antibody: Human

    Restrictions

    For Research Use only
  • Format

    Liquid

    Concentration

    Lot specific

    Buffer

    PBS, 0.09 % sodium azide

    Preservative

    Sodium azide

    Precaution of Use

    This product contains Sodium azide: a POISONOUS AND HAZARDOUS SUBSTANCE which should be handled by trained staff only.

    Storage

    4 °C,-20 °C

    Storage Comment

    Maintain refrigerated at 2-8°C for up to 6 months. For long term storage store at -20°C.

    Expiry Date

    6 months
  • Target

    UBC (Ubiquitin C (UBC))

    Alternative Name

    UBC / Ubiquitin C

    Background

    Name/Gene ID: UBC

    Synonyms: UBC, HUBCEP52, L40, HMG20, RPL40, Ubiquitin, Polyubiquitin-C, CEP52, Ubiquitin C

    Gene ID

    7316

    UniProt

    P0CG48

    Pathways

    Fc-epsilon Receptor Signaling Pathway, EGFR Signaling Pathway, Neurotrophin Signaling Pathway, Activation of Innate immune Response, Mitotic G1-G1/S Phases, DNA Replication, Toll-Like Receptors Cascades, Synthesis of DNA, EGFR Downregulation, Ubiquitin Proteasome Pathway
You are here:
Chat with us!