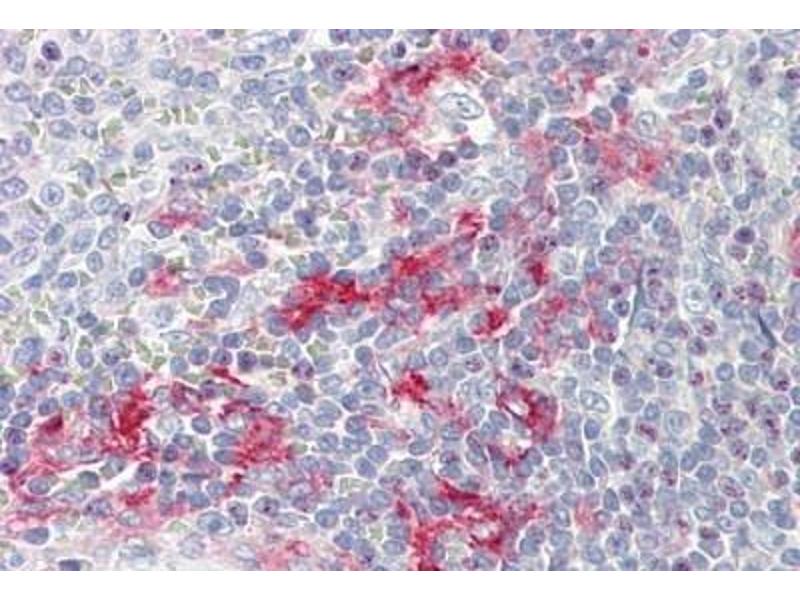
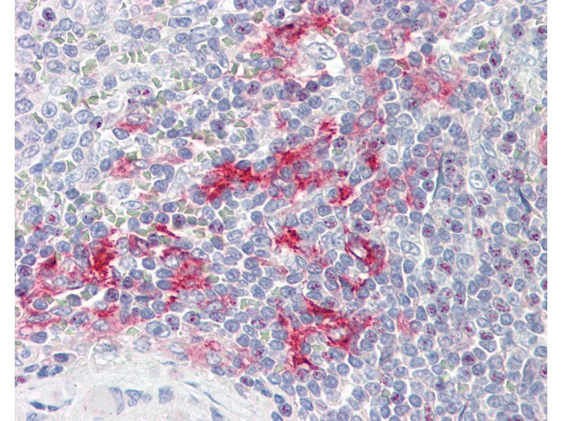
LITAF antibody (AA 1-132)
Quick Overview for LITAF antibody (AA 1-132) (ABIN1804269)
Target
See all LITAF AntibodiesReactivity
Host
Clonality
Conjugate
Application
-
-
Binding Specificity
- AA 1-132
-
Specificity
- Human LITAF. Predicted cross-reactivity based on amino acid sequence homology: mouse (85 % ), rat (86 %), bovine (86 %).
-
Purification
- Immunoaffinity purified
-
Immunogen
-
Recombinant protein fragment containing a sequence corresponding to a region within amino acids 1 and 132 of Human LITAF.
Type of Immunogen: Recombinant protein
-
-
-
-
Application Notes
- Approved: IHC, IHC-P (10 μg/mL), WB (1:500 - 1:3000)
-
Comment
-
Target Species of Antibody: Human
-
Restrictions
- For Research Use only
-
-
-
Format
- Liquid
-
Concentration
- Lot specific
-
Buffer
- 0.1 M Tris-glycine, pH 7, 10 % Glycerol, 0.01 % Thimerosal
-
Preservative
- Thimerosal (Merthiolate)
-
Precaution of Use
- This product contains Thimerosal (Merthiolate): a POISONOUS AND HAZARDOUS SUBSTANCE which should be handled by trained staff only.
-
Handling Advice
- Avoid repeated freezing and thawing.
-
Storage
- -20 °C
-
Storage Comment
- Aliquot and store at -20°C. Avoid freeze-thaw cycles.
-
-
- LITAF (Lipopolysaccharide-Induced Tumor Necrosis Factor-alpha Factor (LITAF))
-
Alternative Name
- LITAF
-
Background
-
Name/Gene ID: LITAF
Synonyms: LITAF, PIG7, TP53I7, p53-induced gene 7 protein, SIMPLE, CMT1C, LPS-induced TNF-alpha factor -
Gene ID
- 9516
-
UniProt
- Q99732
-
Pathways
- Cellular Response to Molecule of Bacterial Origin
Target
-