DPM1 antibody (AA 15-28)
Quick Overview for DPM1 antibody (AA 15-28) (ABIN1804472)
Target
See all DPM1 AntibodiesReactivity
Host
Clonality
Conjugate
Application
-
-
Binding Specificity
- AA 15-28
-
Specificity
- Human DPM1.
-
Purification
- Immunoaffinity purified
-
Immunogen
-
Synthetic peptide RELEVRSPRQNKYS-C from the N-terminus of human DPM1 (NP_003850.1). Percent identity by BLAST analysis: Human, Gorilla, Gibbon (100%).
Type of Immunogen: Synthetic peptide
-
-
-
-
Application Notes
-
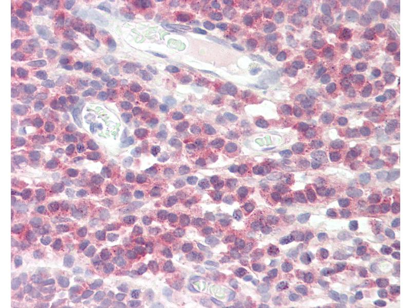
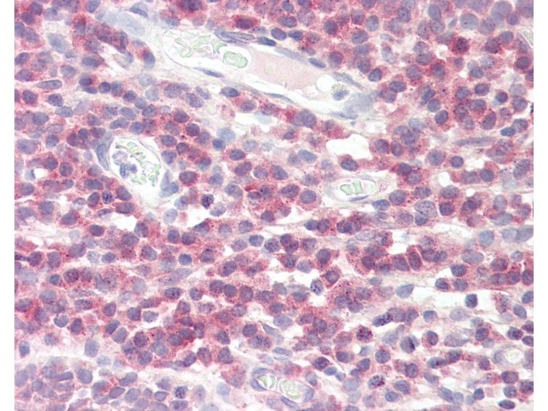
Approved: IHC, IHC-P (3.75 μg/mL), Peptide-ELISA (1:32000), WB (0.1 - 0.3 μg/mL)
Usage: Peptide ELISA: antibody detection limit dilution 1:32000. Western Blot: Approx. 28kD band observed in Human Liver lysates (calculated MW of 29.6kD according to NP_003850.1). Recommended concentration: 0.1-0.3 μg/mL. -
Comment
-
Target Species of Antibody: Human
-
Restrictions
- For Research Use only
-
-
-
Format
- Liquid
-
Concentration
- Lot specific
-
Buffer
- Tris-buffered saline, pH 7.3, 0.5 % BSA, 0.02 % sodium azide
-
Preservative
- Sodium azide
-
Precaution of Use
- This product contains Sodium azide: a POISONOUS AND HAZARDOUS SUBSTANCE which should be handled by trained staff only.
-
Handling Advice
- Avoid repeated freezing and thawing.
-
Storage
- -20 °C
-
Storage Comment
- Store at -20°C. Avoid freeze-thaw cycles.
-
-
- DPM1 (Dolichyl-Phosphate Mannosyltransferase Polypeptide 1, Catalytic Subunit (DPM1))
-
Alternative Name
- DPM1
-
Background
-
Name/Gene ID: DPM1
Synonyms: DPM1, CDGIE, DPM synthase, MPD synthase, MPDS, Mannose-P-dolichol synthase -
Gene ID
- 8813
-
NCBI Accession
- NP_003850
-
UniProt
- O60762
-
Pathways
- Inositol Metabolic Process
Target
-