Phone:
+1 877 302 8632
Fax:
+1 888 205 9894 (Toll-free)
E-Mail:
orders@antibodies-online.com

PGAM2 antibody

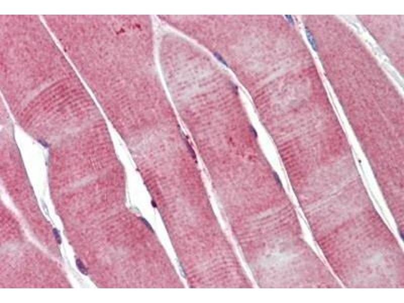
The Mouse Monoclonal anti-PGAM2 antibody (Clone 4E9) (ABIN1804686) specifically detects PGAM2 in WB, IHC, IF, IHC (p) and FACS. The antibody is reactive with Human, Mouse and Monkey samples.
Catalog No. ABIN1804686
$476.30
Plus shipping costs $50.00
50 μL
Shipping to: United States
Delivery in 11 to 15 Business Days

Quick Overview for PGAM2 antibody (ABIN1804686)

Target

See all PGAM2 Antibodies
PGAM2 (phosphoglycerate Mutase 2 (Muscle) (PGAM2))

Reactivity

  • 31
  • 20
  • 8
  • 4
  • 2
  • 2
  • 2
  • 2
  • 2
  • 2
  • 1
Human, Mouse, Monkey

Host

  • 28
  • 5
  • 2
Mouse

Clonality

  • 30
  • 5
Monoclonal

Conjugate

  • 29
  • 2
  • 1
  • 1
  • 1
  • 1
This PGAM2 antibody is un-conjugated

Application

  • 34
  • 18
  • 12
  • 10
  • 7
  • 6
  • 3
  • 3
  • 2
  • 2
  • 2
  • 1
Western Blotting (WB), Immunohistochemistry (IHC), Immunofluorescence (IF), Immunohistochemistry (Paraffin-embedded Sections) (IHC (p)), Flow Cytometry (FACS)

Clone

4E9
You are here:
Chat with us!