Phone:
+1 877 302 8632
Fax:
+1 888 205 9894 (Toll-free)
E-Mail:
orders@antibodies-online.com

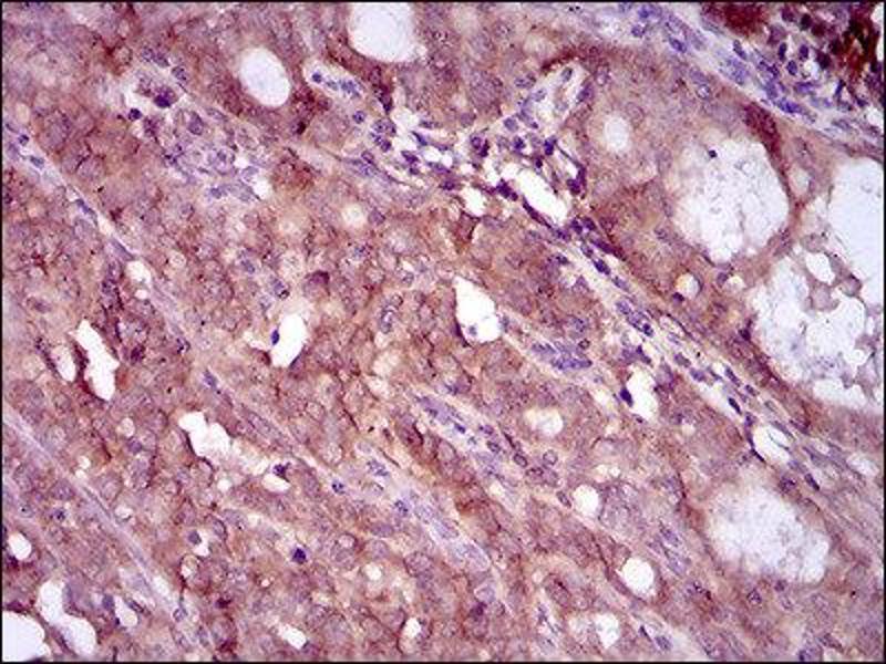
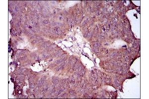
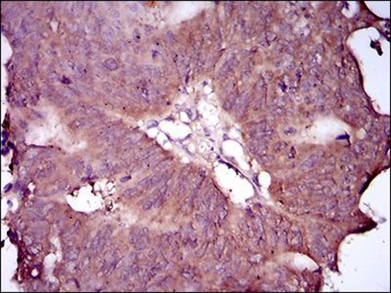
EGFR Mutant (AA 693-893), (Mutant) antibody

The Mouse Monoclonal anti-EGFR Mutant antibody (ABIN1845729) specifically detects EGFR Mutant in ELISA, IHC, FACS and WB. The antibody is reactive with Human samples.
Catalog No. ABIN1845729
$572.76
Plus shipping costs $50.00
100 μL
Shipping to: United States
Delivery in 10 to 18 Business Days

Quick Overview for EGFR Mutant (AA 693-893), (Mutant) antibody (ABIN1845729)

Target

EGFR Mutant

Reactivity

Human

Host

  • 2
Mouse

Clonality

  • 2
Monoclonal

Conjugate

  • 2
Un-conjugated

Application

ELISA, Immunohistochemistry (IHC), Flow Cytometry (FACS), Western Blotting (WB)
  • Binding Specificity

    AA 693-893, Mutant

    Purification

    Purified antibody

    Immunogen

    Purified recombinant fragment of human EGFR mutant (AA: 693-893) expressed in E. coli.

    Isotype

    IgG1
  • Application Notes

    Optimal working dilution should be determined by the investigator.

    Restrictions

    For Research Use only
  • Format

    Liquid

    Concentration

    1.0 mg/mL

    Buffer

    PBS with 0.05 % sodium azide and 0.5 % protein stabilizer.

    Preservative

    Sodium azide

    Precaution of Use

    This product contains Sodium azide: a POISONOUS AND HAZARDOUS SUBSTANCE which should be handled by trained staff only.

    Storage

    -20 °C

    Storage Comment

    Aliquot and store at -20 °C. Avoid repeated freeze/thaw cycles.
  • Target

    EGFR Mutant

    Background

    The protein encoded by this gene is a transmembrane glycoprotein that is a member of the protein kinase superfamily.This protein is a receptor for members of the epidermal growth factor family.EGFR is a cell surface protein that binds to epidermal growth factor.Binding of the protein to a ligand induces receptor dimerization and tyrosine autophosphorylation and leads to cell proliferation.Mutations in this gene are associated with lung cancer.Multiple alternatively spliced transcript variants that encode different protein isoforms have been found for this gene.

    Molecular Weight

    175 kDa

    Gene ID

    1956

    UniProt

    P00533
You are here:
Chat with us!