Phone:
+1 877 302 8632
Fax:
+1 888 205 9894 (Toll-free)
E-Mail:
orders@antibodies-online.com

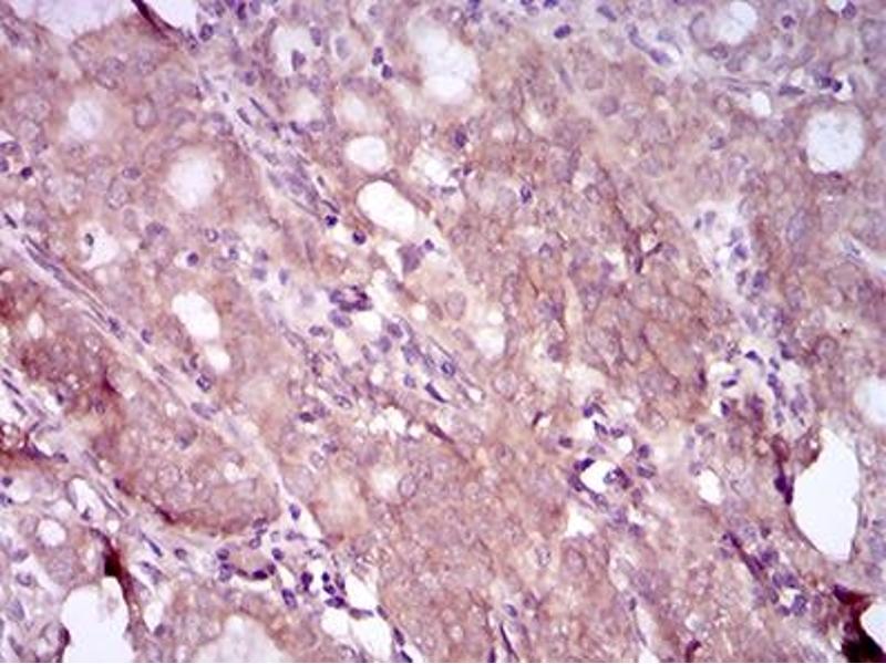
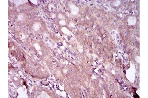
EGFR Mutant (AA 693-893), (Mutant) antibody

This Mouse Monoclonal antibody specifically detects EGFR Mutant in ELISA, IHC and FACS. It exhibits reactivity toward Human. It has been mentioned in 2+ publications
Catalog No. ABIN1724824
$473.33
Plus shipping costs $50.00
100 μL
Shipping to: United States
Delivery in 3 to 5 Business Days

Quick Overview for EGFR Mutant (AA 693-893), (Mutant) antibody (ABIN1724824)

Target

EGFR Mutant

Reactivity

Human

Host

  • 2
Mouse

Clonality

  • 2
Monoclonal

Conjugate

  • 2
Un-conjugated

Application

  • 2
  • 2
  • 2
  • 2
ELISA, Immunohistochemistry (IHC), Flow Cytometry (FACS)

Clone

5G9B5
  • Binding Specificity

    AA 693-893, Mutant

    Purpose

    EGFR mutant Antibody

    Characteristics

    Mutant

    Purification

    Ascitic fluid

    Immunogen

    Purified recombinant fragment of human EGFR mutant (AA: 693-893) expressed in E. Coli.

    Isotype

    IgG1
  • Application Notes

    ELISA: 1/10000

    FCM: 1/200 - 1/400

    Restrictions

    For Research Use only
  • Format

    Liquid

    Buffer

    Ascitic fluid containing 0.03 % sodium azide.

    Preservative

    Sodium azide

    Precaution of Use

    This product contains Sodium azide: a POISONOUS AND HAZARDOUS SUBSTANCE which should be handled by trained staff only.

    Storage

    4 °C,-20 °C

    Storage Comment

    Store at 4°C short term. Aliquot and store at -20°C long term. Avoid freeze/thaw cycles.
  • Derer, Bauer, Lohse, Scheel, Berger, Kellner, Peipp, Valerius: "Impact of epidermal growth factor receptor (EGFR) cell surface expression levels on effector mechanisms of EGFR antibodies." in: Journal of immunology (Baltimore, Md. : 1950), Vol. 189, Issue 11, pp. 5230-9, (2012) (PubMed).

    Minder, Bayha, Becker-Pauly, Sterchi: "Meprin? transactivates the epidermal growth factor receptor (EGFR) via ligand shedding, thereby enhancing colorectal cancer cell proliferation and migration." in: The Journal of biological chemistry, Vol. 287, Issue 42, pp. 35201-11, (2012) (PubMed).

  • Target

    EGFR Mutant

    Background

    The protein encoded by this gene is a transmembrane glycoprotein that is a member of the protein kinase superfamily. This protein is a receptor for members of the epidermal growth factor family. EGFR is a cell surface protein that binds to epidermal growth factor. Binding of the protein to a ligand induces receptor dimerization and tyrosine autophosphorylation and leads to cell proliferation. Mutations in this gene are associated with lung cancer. Multiple alternatively spliced transcript variants that encode different protein isoforms have been found for this gene.

    Molecular Weight

    175 kDa

    Gene ID

    1956

    UniProt

    P00533
You are here:
Chat with us!