Phone:
+1 877 302 8632
Fax:
+1 888 205 9894 (Toll-free)
E-Mail:
orders@antibodies-online.com

KAP1 antibody (C-Term)

There is 1 publication for this product available. The Goat Polyclonal anti-KAP1 antibody is suitable to detect KAP1 in samples from Human. It has been validated for IHC, ELISA, IF and FACS.
Catalog No. ABIN184913
$488.25
Plus shipping costs $50.00
100 μg
Shipping to: United States
Delivery in 1 to 3 Business Days

Quick Overview for KAP1 antibody (C-Term) (ABIN184913)

Target

See all KAP1 (TRIM28) Antibodies
KAP1 (TRIM28) (Tripartite Motif Containing 28 (TRIM28))

Reactivity

  • 135
  • 63
  • 61
  • 10
  • 9
  • 9
  • 7
  • 5
  • 4
  • 2
  • 1
  • 1
  • 1
Human

Host

  • 136
  • 18
  • 3
  • 1
Goat

Clonality

  • 108
  • 50
Polyclonal

Conjugate

  • 74
  • 10
  • 8
  • 5
  • 5
  • 5
  • 5
  • 5
  • 5
  • 4
  • 3
  • 2
  • 2
  • 2
  • 2
  • 2
  • 2
  • 2
  • 2
  • 2
  • 2
  • 2
  • 2
  • 2
  • 2
  • 1
This KAP1 antibody is un-conjugated

Application

  • 108
  • 64
  • 38
  • 36
  • 33
  • 29
  • 27
  • 26
  • 26
  • 20
  • 8
  • 4
  • 4
  • 3
  • 2
  • 2
  • 2
  • 1
  • 1
  • 1
Immunohistochemistry (IHC), ELISA, Immunofluorescence (IF), Flow Cytometry (FACS)

Grade

Verified
  • Binding Specificity

    • 30
    • 15
    • 9
    • 8
    • 6
    • 6
    • 5
    • 5
    • 4
    • 3
    • 2
    • 2
    • 2
    • 2
    • 2
    • 1
    • 1
    • 1
    • 1
    • 1
    • 1
    • 1
    • 1
    • 1
    • 1
    • 1
    • 1
    C-Term

    Purpose

    KAP1 / TRIM28

    Sequence

    SSQELSGGPG DGP

    Cross-Reactivity

    Human, Mouse

    Purification

    Purified from goat serum by ammonium sulphate precipitation followed by antigen affinity chromatography using the immunizing peptide.

    Immunogen

    Peptide with sequence C-SSQELSGGPGDGP, from the C Terminus of the protein sequence according to NP_005753.1.

    Isotype

    IgG
  • Application Notes

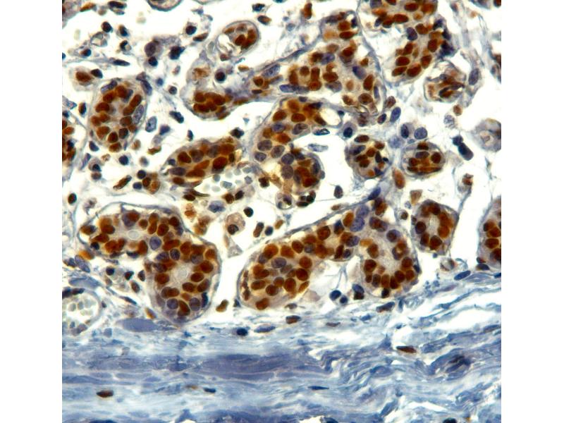
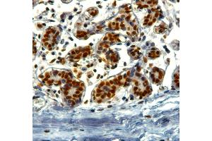
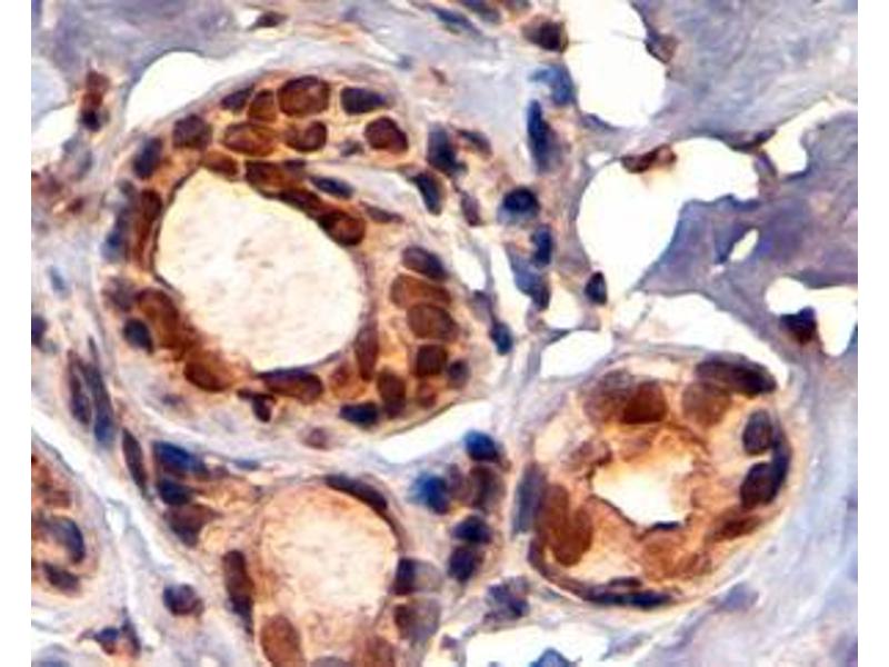
    Immunohistochemistry: In paraffin embedded Human Breast shows nuclear staining in epithelial duct cells. Recommended concentration: 2-4 μg/mL.

    Peptide ELISA: antibody detection limit dilution 1:2000.

    Comment

    Immunofluorescence: Strong expression of the protein seen in the nuclei of HeLa and U2OS cells. Recommended concentration: 10μg/ml.

    Flow Cytometry: Flow cytometric analysis of HeLa cells. Recommended concentration: 10u

    Restrictions

    For Research Use only
  • Format

    Liquid

    Concentration

    0.5 mg/mL

    Buffer

    Supplied at 0.5 mg/mL in Tris saline, 0.02 % sodium azide, pH 7.3 with 0.5 % bovine serum albumin.

    Preservative

    Sodium azide

    Precaution of Use

    This product contains Sodium azide: a POISONOUS AND HAZARDOUS SUBSTANCE which should be handled by trained staff only.

    Handling Advice

    Minimize freezing and thawing.

    Storage

    -20 °C

    Storage Comment

    Aliquot and store at -20°C, with minimal freeze/thawing. A working aliquot may be refrigerated at 4°C for a few weeks and still remain viable.
  • Yokoe, Toiyama, Okugawa, Tanaka, Ohi, Inoue, Mohri, Miki, Kusunoki: "KAP1 is associated with peritoneal carcinomatosis in gastric cancer." in: Annals of surgical oncology, Vol. 17, Issue 3, pp. 821-8, (2010) (PubMed).

  • Target

    KAP1 (TRIM28) (Tripartite Motif Containing 28 (TRIM28))

    Alternative Name

    TRIM28

    Background

    TRIM28, KAP1, TF1B, RNF96, TIF1B, tripartite motif-containing 28, KRAB-associated protein 1, nuclear corepressor KAP-1, transcriptional intermediary factor 1-beta, FLJ29029, KRAB-associated protein 1, tripartite motif-containing 28 protein

    Gene ID

    10155

    NCBI Accession

    NP_005753

    Pathways

    Hedgehog Signaling, Positive Regulation of Response to DNA Damage Stimulus
You are here:
Chat with us!