×
For best experience we recommend to activate Javascript in your browser.
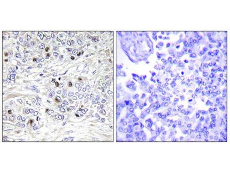
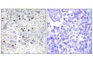
TEAD2 antibody (Internal Region)
The Rabbit Polyclonal anti-TEAD2 antibody is suitable to detect TEAD2 in samples from Human and Mouse. It has been validated for ELISA, IHC and IF/ICC.
Catalog No. ABIN1849634
$418.76
Plus shipping costs $50.00
1 mL ABIN5976914
100 μL ABIN1849634
200 μL ABIN1849635
300 μL ABIN6299801
1 mL ABIN5976914
100 μL ABIN1849634
200 μL ABIN1849635
300 μL ABIN6299801
Delivery in 10 to 18 Business Days
Quick Overview for TEAD2 antibody (Internal Region) (ABIN1849634)
Target
See all TEAD2 Antibodies
TEAD2
(TEA Domain Family Member 2 (TEAD2))
Reactivity
All reactivities for TEAD2 antibodies
Human, Mouse
Host
All hosts for TEAD2 antibodies
Rabbit
Clonality
All clonalities for TEAD2 antibodies
Polyclonal
Conjugate
All conjugates for TEAD2 antibodies
This TEAD2 antibody is un-conjugated
Application
All applications for TEAD2 antibodies
ELISA, Immunohistochemistry (IHC), Immunofluorescence (fixed cells) (IF/ICC)
Product Details anti-TEAD2 Antibody
(hide)
Binding Specificity
All epitopes for TEAD2 antibodies
Internal Region
Specificity
Rabbit polyclonal antibody against TEAD2 protein.
Purification
The antibody was affinity-purified from rabbit antiserum by affinity-chromatography using epitope-specific immunogen
Immunogen
The antiserum was produced against synthesized peptide derived from internal of human TEAD2.
Alternatives
(show)
Application Details
(hide)
Restrictions
For Research Use only
Handling
(hide)
Storage
-20 °C
Storage Comment
Aliquot and store at -20 °C. Avoid repeated freeze/thaw cycles.
Target Details for TEAD2
(hide)
Target
TEAD2
(TEA Domain Family Member 2 (TEAD2))
Alternative Name
TEAD2
UniProt
Q15562
Pathways
Regulation of Lipid Metabolism by PPARalpha , Tube Formation
Recently viewed
(hide)
You are here:
Homepage
anti-TEAD2 antibody (Internal Region) (ABIN1849634)
Chat with us , powered by LiveChat