Phone:
+1 877 302 8632
Fax:
+1 888 205 9894 (Toll-free)
E-Mail:
orders@antibodies-online.com

TRIM5 antibody (N-Term)

The Goat Polyclonal anti-TRIM5 antibody (ABIN184983) specifically detects TRIM5 in WB, ELISA and IHC. The antibody is reactive with Human samples.
Catalog No. ABIN184983
$488.25
Plus shipping costs $50.00
100 μg
Shipping to: United States
Delivery in 1 to 3 Business Days

Quick Overview for TRIM5 antibody (N-Term) (ABIN184983)

Target

See all TRIM5 Antibodies
TRIM5 (Tripartite Motif Containing 5 (TRIM5))

Reactivity

  • 38
  • 4
  • 2
  • 1
  • 1
Human

Host

  • 32
  • 6
Goat

Clonality

  • 32
  • 6
Polyclonal

Conjugate

  • 29
  • 3
  • 2
  • 2
  • 1
  • 1
This TRIM5 antibody is un-conjugated

Application

  • 32
  • 19
  • 8
  • 7
  • 4
  • 4
  • 2
  • 1
  • 1
Western Blotting (WB), ELISA, Immunohistochemistry (IHC)

Grade

Verified
  • Binding Specificity

    • 7
    • 7
    • 6
    • 3
    • 2
    • 2
    • 1
    • 1
    • 1
    • 1
    • 1
    • 1
    • 1
    • 1
    • 1
    • 1
    N-Term

    Purpose

    TRIM5 / RNF88

    Sequence

    ASGILVNVKE EVTC

    Specificity

    This antibody is expected to recognise all three human isoforms of this protein.

    Cross-Reactivity

    Human

    Purification

    Purified from goat serum by ammonium sulphate precipitation followed by antigen affinity chromatography using the immunizing peptide.

    Immunogen

    Peptide with sequence ASGILVNVKEEVTC, from the N Terminus of the protein sequence according to NP_149023.1, NP_149083.1, NP_149084.1.

    Isotype

    IgG
  • Application Notes

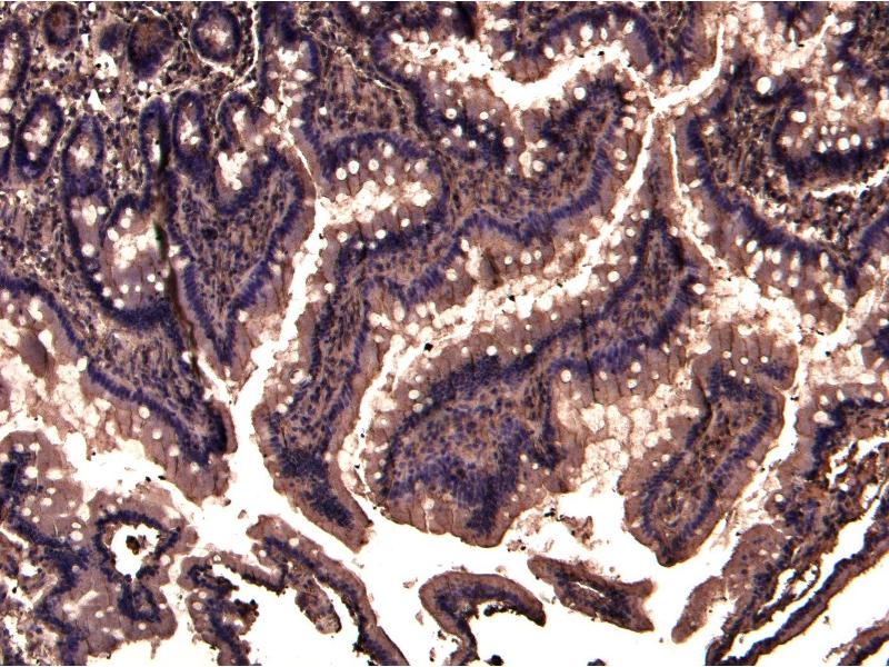
    Immunohistochemistry: Paraffin embedded Human Colon. Recommended concentration: 3 μg/mL.

    Western Blot: Approx 55 and 37 kDa bands observed in Human Thymus lysates (calculated MW of 56.3 kDa according to NP_149023.1 and of 37.7 kDa according to NP_149084.1). Recommended concentration: 1-3 μg/mL. Primary incubation was 1 hour.

    Peptide ELISA: antibody detection limit dilution 1:16000.

    Restrictions

    For Research Use only
  • Format

    Liquid

    Concentration

    0.5 mg/mL

    Buffer

    Supplied at 0.5 mg/mL in Tris saline, 0.02 % sodium azide, pH 7.3 with 0.5 % bovine serum albumin.

    Preservative

    Sodium azide

    Precaution of Use

    This product contains Sodium azide: a POISONOUS AND HAZARDOUS SUBSTANCE which should be handled by trained staff only.

    Handling Advice

    Minimize freezing and thawing.

    Storage

    -20 °C

    Storage Comment

    Aliquot and store at -20°C, with minimal freeze/thawing. A working aliquot may be refrigerated at 4°C for a few weeks and still remain viable.
  • Target

    TRIM5 (Tripartite Motif Containing 5 (TRIM5))

    Alternative Name

    TRIM5

    Background

    TRIM5, RNF88, tripartite motif-containing 5, TRIM5alpha, tripartite motif protein 5, tripartite motif protein TRIM5, OTTHUMP00000069812, tripartite motif protein TRIM, tripartite motif-containing protein 5 alpha

    Gene ID

    85363

    NCBI Accession

    NP_149023, NP_149083, NP_149084

    Pathways

    Activation of Innate immune Response
You are here:
Chat with us!