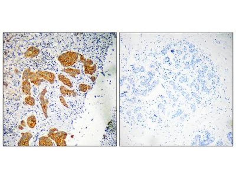
CKLF antibody (Internal Region)
Quick Overview for CKLF antibody (Internal Region) (ABIN1851120)
Target
See all CKLF AntibodiesReactivity
Host
Clonality
Conjugate
Application
-
-
Binding Specificity
- Internal Region
-
Specificity
- Rabbit polyclonal antibody against CKLF4 protein.
-
Purification
- The antibody was affinity-purified from rabbit antiserum by affinity-chromatography using epitope-specific immunogen
-
Immunogen
- The antiserum was produced against synthesized peptide derived from internal of human CKLF4.
-
-
-
-
Restrictions
- For Research Use only
-
-
-
Storage
- -20 °C
-
Storage Comment
- Aliquot and store at -20 °C. Avoid repeated freeze/thaw cycles.
-
-
- CKLF (Chemokine-Like Factor (CKLF))
-
Alternative Name
- CKLF4
-
UniProt
- Q8IZR5
Target
-