Phone:
+1 877 302 8632
Fax:
+1 888 205 9894 (Toll-free)
E-Mail:
orders@antibodies-online.com

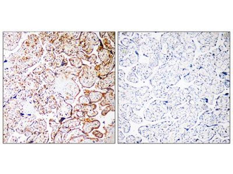
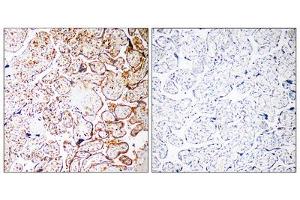
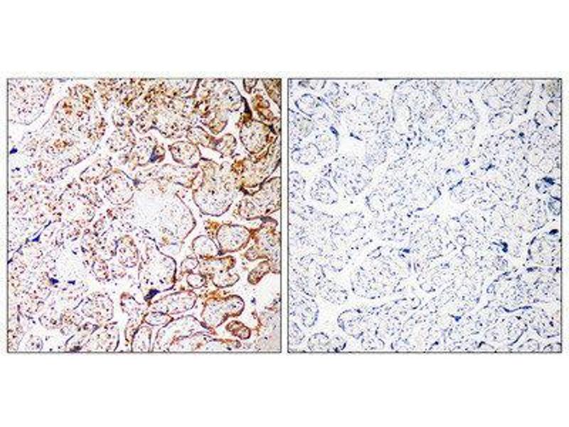
CCDC102B antibody (Internal Region)

This Rabbit Polyclonal antibody specifically detects CCDC102B in WB, IHC and ELISA. It exhibits reactivity toward Human.
Catalog No. ABIN1851142
$418.76
Plus shipping costs $50.00
Shipping to: United States
Delivery in 10 to 18 Business Days

Quick Overview for CCDC102B antibody (Internal Region) (ABIN1851142)

Target

See all CCDC102B Antibodies
CCDC102B (Coiled-Coil Domain Containing 102B (CCDC102B))

Reactivity

  • 19
  • 3
  • 2
  • 2
  • 2
  • 2
  • 2
  • 2
  • 1
  • 1
  • 1
Human

Host

  • 19
Rabbit

Clonality

  • 19
Polyclonal

Conjugate

  • 12
  • 1
  • 1
  • 1
  • 1
  • 1
  • 1
  • 1
This CCDC102B antibody is un-conjugated

Application

  • 12
  • 7
  • 7
  • 1
  • 1
  • 1
Western Blotting (WB), Immunohistochemistry (IHC), ELISA
You are here:
Chat with us!