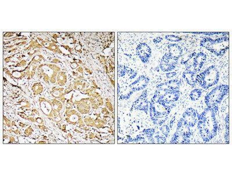
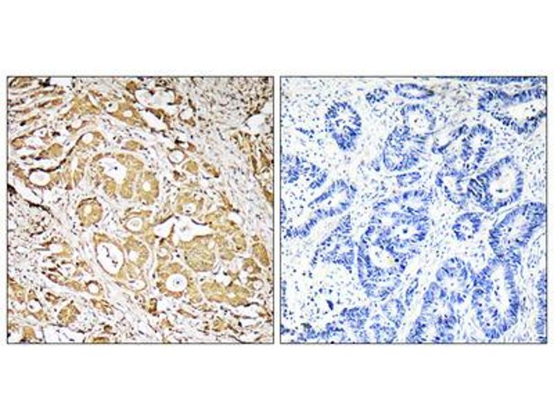
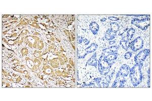
FUT3 antibody (Internal Region)
The Rabbit Polyclonal anti-FUT3 antibody (ABIN1851348) specifically detects FUT3 in WB, ELISA and IHC.
The antibody is reactive with Human samples.
Catalog No. ABIN1851348
$418.76
Plus shipping costs $50.00
Delivery in 10 to 18 Business Days
Quick Overview for FUT3 antibody (Internal Region) (ABIN1851348)
Target
See all FUT3 Antibodies
FUT3
(Fucosyltransferase 3 (Galactoside 3(4)-L-Fucosyltransferase, Lewis Blood Group) (FUT3))
Reactivity
Human
Host
Rabbit
Clonality
Polyclonal
Conjugate
This FUT3 antibody is un-conjugated
Application
Western Blotting (WB), ELISA, Immunohistochemistry (IHC)
-
-
Binding Specificity
-
Internal Region
-
Specificity
-
Rabbit polyclonal antibody against FUT3 protein.
-
Purification
-
The antibody was affinity-purified from rabbit antiserum by affinity-chromatography using epitope-specific immunogen
-
Immunogen
-
The antiserum was produced against synthesized peptide derived from internal of human FUT3.
-
-
-
Restrictions
-
For Research Use only
-
-
Storage
-
-20 °C
-
Storage Comment
-
Aliquot and store at -20 °C. Avoid repeated freeze/thaw cycles.
-
Target
-
FUT3
(Fucosyltransferase 3 (Galactoside 3(4)-L-Fucosyltransferase, Lewis Blood Group) (FUT3))
-
Alternative Name
-
FUT3
-
UniProt
-
P21217
-
You are here:
-
Homepage
-
anti-FUT3 antibody (Internal Region) (ABIN1851348)