Phone:
+1 877 302 8632
Fax:
+1 888 205 9894 (Toll-free)
E-Mail:
orders@antibodies-online.com

CD2BP2 antibody (N-Term)

This Goat Polyclonal antibody specifically detects CD2BP2 in WB, ELISA and IHC. It exhibits reactivity toward Human.
Catalog No. ABIN185254
$488.25
Plus shipping costs $50.00
100 μg
Shipping to: United States
Delivery in 1 to 3 Business Days

Quick Overview for CD2BP2 antibody (N-Term) (ABIN185254)

Target

See all CD2BP2 Antibodies
CD2BP2 (CD2 (Cytoplasmic Tail) Binding Protein 2 (CD2BP2))

Reactivity

  • 28
  • 3
  • 2
  • 1
Human

Host

  • 28
Goat

Clonality

  • 28
Polyclonal

Conjugate

  • 15
  • 2
  • 2
  • 1
  • 1
  • 1
  • 1
  • 1
  • 1
  • 1
  • 1
  • 1
This CD2BP2 antibody is un-conjugated

Application

  • 20
  • 15
  • 12
  • 10
  • 3
  • 1
  • 1
  • 1
Western Blotting (WB), ELISA, Immunohistochemistry (IHC)

Grade

Verified
  • Binding Specificity

    • 10
    • 3
    • 3
    • 1
    • 1
    • 1
    • 1
    • 1
    • 1
    • 1
    N-Term

    Purpose

    CD2BP2 (N Terminus)

    Sequence

    PKRKVTFQGV GDE

    Cross-Reactivity

    Cow, Dog, Human, Mouse, Rat

    Purification

    Purified from goat serum by ammonium sulphate precipitation followed by antigen affinity chromatography using the immunizing peptide.

    Immunogen

    PKRKVTFQGVGDE-C

    Isotype

    IgG
  • Application Notes

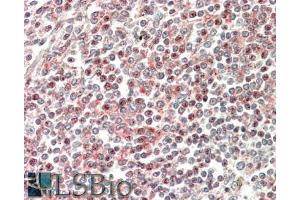
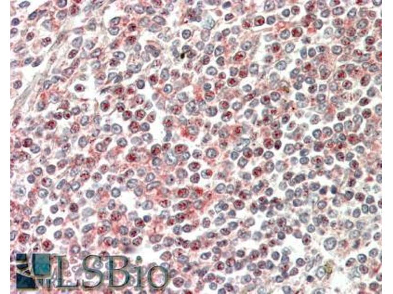
    Immunohistochemistry: In paraffin embedded Human Spleen shows nucleolar staining in select splenocytes. Recommended concentration: 5-10 μg/mL.

    Western Blot: Approx 50 kDa band observed in Human Lymph Node, Thymus and Tonsil lysates (calculated MW of 37.6 kDa according to NP_006101.1). The observed molecular weight corresponds to earlier findings in literature with different antibodies (Nishizawa

    Peptide ELISA: antibody detection limit dilution 1:32000.

    Restrictions

    For Research Use only
  • Format

    Liquid

    Concentration

    0.5 mg/mL

    Buffer

    Supplied at 0.5 mg/mL in Tris saline, 0.02 % sodium azide, pH 7.3 with 0.5 % bovine serum albumin.

    Preservative

    Sodium azide

    Precaution of Use

    This product contains Sodium azide: a POISONOUS AND HAZARDOUS SUBSTANCE which should be handled by trained staff only.

    Handling Advice

    Minimize freezing and thawing.

    Storage

    -20 °C

    Storage Comment

    Aliquot and store at -20°C, with minimal freeze/thawing. A working aliquot may be refrigerated at 4°C for a few weeks and still remain viable.
  • Target

    CD2BP2 (CD2 (Cytoplasmic Tail) Binding Protein 2 (CD2BP2))

    Alternative Name

    CD2BP2

    Background

    CD2BP2, FWP010, LIN1, Snu40, CD2 antigen (cytoplasmic tail) binding protein 2, CD2 (cytoplasmic tail) binding protein 2, CD2 antigen (cytoplasmic tail)-binding protein 2, U5-52K, CD2 binding protein 2, CD2 cytoplasmic domain binding protein 2, U5 snRNP 52

    Gene ID

    10421

    NCBI Accession

    NP_006101

    Pathways

    Ribonucleoprotein Complex Subunit Organization
You are here:
Chat with us!