Phone:
+1 877 302 8632
Fax:
+1 888 205 9894 (Toll-free)
E-Mail:
orders@antibodies-online.com

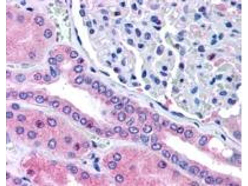
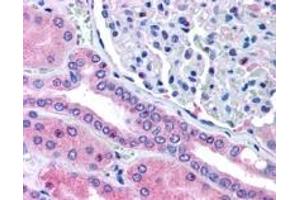
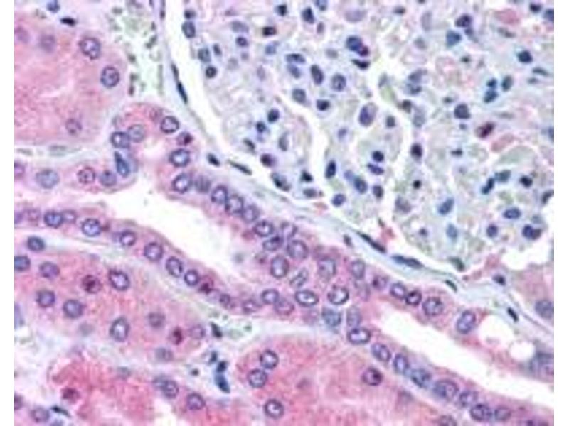
RHPN2 antibody (Internal Region)

The Goat Polyclonal anti-RHPN2 antibody (ABIN185439) specifically detects RHPN2 in ELISA and IHC. The antibody is reactive with Human samples.
Catalog No. ABIN185439
$488.25
Plus shipping costs $50.00
100 μg
Shipping to: United States
Delivery in 1 to 3 Business Days

Quick Overview for RHPN2 antibody (Internal Region) (ABIN185439)

Target

See all RHPN2 Antibodies
RHPN2 (Rhophilin, rho GTPase Binding Protein 2 (RHPN2))

Reactivity

  • 17
  • 5
  • 2
  • 1
  • 1
  • 1
  • 1
  • 1
  • 1
  • 1
Human

Host

  • 14
  • 3
Goat

Clonality

  • 15
  • 2
Polyclonal

Conjugate

  • 12
  • 1
  • 1
  • 1
  • 1
  • 1
This RHPN2 antibody is un-conjugated

Application

  • 17
  • 13
  • 1
  • 1
ELISA, Immunohistochemistry (IHC)

Grade

Verified
  • Binding Specificity

    • 7
    • 2
    • 2
    • 2
    • 1
    • 1
    • 1
    • 1
    Internal Region

    Purpose

    Rhophilin 2 (Internal)

    Sequence

    TNKNRQKSAS T

    Cross-Reactivity

    Cow, Human, Mouse, Rat

    Purification

    Purified from goat serum by ammonium sulphate precipitation followed by antigen affinity chromatography using the immunizing peptide.

    Immunogen

    Peptide with sequence C-TNKNRQKSAST, from the internal region of the protein sequence according to NP_149094.3.

    Isotype

    IgG
  • Application Notes

    Immunohistochemistry: In paraffin embedded Human Kidney shows staining of cellular membrane and cytoplasm in convoluted tubular cells. Recommended concentration 5-10 μg/mL.

    Western Blot: Preliminary experiments gave an approx 35 kDa band in Human Pancreas and Prostate lysates after 0.3 μg/mL antibody staining. Please note that currently we cannot find an explanation in the literature for the band we observe given the calculat

    Peptide ELISA: antibody detection limit dilution 1:32000.

    Restrictions

    For Research Use only
  • Format

    Liquid

    Concentration

    0.5 mg/mL

    Buffer

    Supplied at 0.5 mg/mL in Tris saline, 0.02 % sodium azide, pH 7.3 with 0.5 % bovine serum albumin.

    Preservative

    Sodium azide

    Precaution of Use

    This product contains Sodium azide: a POISONOUS AND HAZARDOUS SUBSTANCE which should be handled by trained staff only.

    Handling Advice

    Minimize freezing and thawing.

    Storage

    -20 °C

    Storage Comment

    Aliquot and store at -20°C, with minimal freeze/thawing. A working aliquot may be refrigerated at 4°C for a few weeks and still remain viable.
  • Target

    RHPN2 (Rhophilin, rho GTPase Binding Protein 2 (RHPN2))

    Alternative Name

    RHPN2

    Background

    RHPN2, p76RBE, rhophilin, Rho GTPase binding protein 2, rhophilin 2, rhophilin-2, RhoB effector, rhophilin-like protein, P76RBE, RHOBP, 76 kDa RhoB effector protein, GTP-Rho-binding protein 2, rhophilin-like Rho-GTPase binding protein

    Gene ID

    85415

    NCBI Accession

    NP_149094
You are here:
Chat with us!