Phone:
+1 877 302 8632
Fax:
+1 888 205 9894 (Toll-free)
E-Mail:
orders@antibodies-online.com

ICAM5 antibody (C-Term)

The Goat Polyclonal anti-ICAM5 antibody (ABIN185736) specifically detects ICAM5 in ELISA and IHC. The antibody is reactive with Human samples.
Catalog No. ABIN185736
$488.25
Plus shipping costs $50.00
100 μg
Shipping to: United States
Delivery in 1 to 3 Business Days

Quick Overview for ICAM5 antibody (C-Term) (ABIN185736)

Target

See all ICAM5 Antibodies
ICAM5 (Intercellular Adhesion Molecule 5 (ICAM5))

Reactivity

  • 22
  • 18
  • 7
  • 2
  • 2
  • 2
  • 2
  • 2
  • 1
  • 1
  • 1
Human

Host

  • 24
  • 1
  • 1
Goat

Clonality

  • 24
  • 2
Polyclonal

Conjugate

  • 19
  • 1
  • 1
  • 1
  • 1
  • 1
  • 1
  • 1
This ICAM5 antibody is un-conjugated

Application

  • 17
  • 8
  • 8
  • 4
  • 3
  • 1
  • 1
  • 1
ELISA, Immunohistochemistry (IHC)

Grade

Verified
  • Binding Specificity

    • 2
    • 2
    • 2
    • 2
    • 1
    • 1
    • 1
    • 1
    C-Term

    Purpose

    ICAM5 precursor

    Sequence

    ESPAEGEVFA IQ

    Cross-Reactivity

    Cow, Human, Mouse, Pig, Rat

    Purification

    Purified from goat serum by ammonium sulphate precipitation followed by antigen affinity chromatography using the immunizing peptide.

    Immunogen

    Peptide with sequence C-ESPAEGEVFAIQ, from the C Terminus of the protein sequence according to NP_003250.3.

    Isotype

    IgG
  • Application Notes

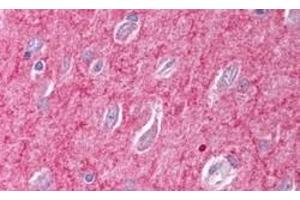
    Immunohistochemistry: In paraffin embedded Human Brain (Cerebral Cortex) shows axon/dendrite staining leaving cell bodies relatively unstained. Recommended concentration, 2-4 μg/mL.

    Western Blot: Preliminary experiments gave an approx 200-250 kDa band in lysates of Human Brain (Frontal Cortex and Hippocampus) and Mouse Brain after 0.05 μg/mL antibody staining. Please note that currently we cannot find an explanation in the literature

    Peptide ELISA: antibody detection limit dilution 1:128000.

    Restrictions

    For Research Use only
  • Format

    Liquid

    Concentration

    0.5 mg/mL

    Buffer

    Supplied at 0.5 mg/mL in Tris saline, 0.02 % sodium azide, pH 7.3 with 0.5 % bovine serum albumin.

    Preservative

    Sodium azide

    Precaution of Use

    This product contains Sodium azide: a POISONOUS AND HAZARDOUS SUBSTANCE which should be handled by trained staff only.

    Handling Advice

    Minimize freezing and thawing.

    Storage

    -20 °C

    Storage Comment

    Aliquot and store at -20°C, with minimal freeze/thawing. A working aliquot may be refrigerated at 4°C for a few weeks and still remain viable.
  • Target

    ICAM5 (Intercellular Adhesion Molecule 5 (ICAM5))

    Alternative Name

    ICAM5

    Background

    ICAM5, intercellular adhesion molecule 5, telencephalin , TLCN, TLN , intercellular adhesion molecule 5, telencephalin

    Gene ID

    7087, 15898, 313785

    NCBI Accession

    NP_003250

    Pathways

    Cell-Cell Junction Organization, ER-Nucleus Signaling, Maintenance of Protein Location
You are here:
Chat with us!