Phone:
+1 877 302 8632
Fax:
+1 888 205 9894 (Toll-free)
E-Mail:
orders@antibodies-online.com

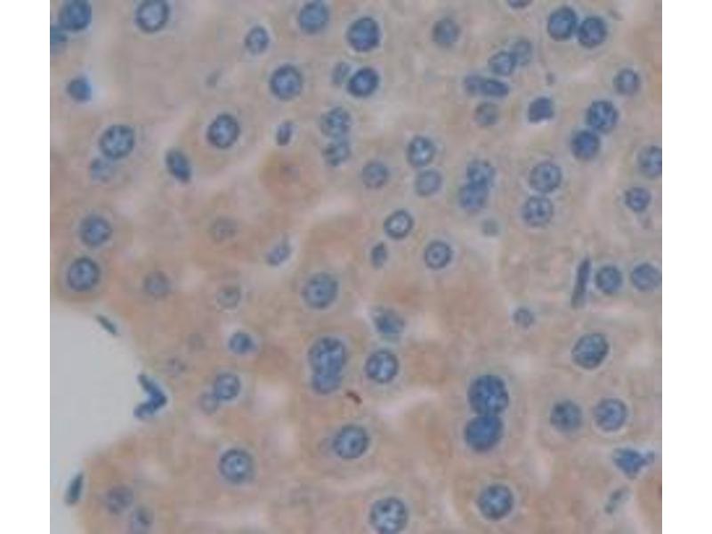
Complement C3 Convertase antibody (AA 1314-1663)

This Rabbit Polyclonal antibody specifically detects Complement C3 Convertase in IHC, WB, ICC and IP. It exhibits reactivity toward Mouse.
Catalog No. ABIN1858192
$227.00
Plus shipping costs $50.00
Shipping to: United States
Delivery in 13 to 17 Business Days

Quick Overview for Complement C3 Convertase antibody (AA 1314-1663) (ABIN1858192)

Target

Complement C3 Convertase

Reactivity

  • 4
  • 2
Mouse

Host

  • 5
  • 1
Rabbit

Clonality

  • 5
  • 1
Polyclonal

Conjugate

  • 6
This Complement C3 Convertase antibody is un-conjugated

Application

  • 5
  • 5
  • 4
  • 4
  • 1
  • 1
  • 1
Immunohistochemistry (IHC), Western Blotting (WB), Immunocytochemistry (ICC), Immunoprecipitation (IP)
  • Binding Specificity

    AA 1314-1663

    Purpose

    Polyclonal Antibody to Complement C3 Convertase (C3 Convertase)

    Specificity

    The antibody is a rabbit polyclonal antibody raised against C3 Convertase. It has been selected for its ability to recognize C3 Convertase in immunohistochemical staining and western blotting.

    Cross-Reactivity

    Human

    Purification

    Antigen-specific affinity chromatography followed by Protein A affinity chromatography

    Immunogen

    Recombinant Complement C3 Convertase (C3 Convertase) corresdonding to N-terminal His Tag

    Isotype

    IgG
  • Application Notes

    Western blotting: 0.2-2 μg/mL,1:250-2500 Immunohistochemistry: 5-20 μg/mL,1:25-100 Immunocytochemistry: 5-20 μg/mL,1:25-100 Optimal working dilutions must be determined by end user.

    Comment

    The thermal stability is described by the loss rate. The loss rate was determined by accelerated thermal degradation test, that is, incubate the protein at 37°C for 48h, and no obvious degradation and precipitation were observed. The loss rate is less than 5% within the expiration date under appropriate storage condition.

    Restrictions

    For Research Use only
  • Format

    Liquid

    Concentration

    500 μg/mL

    Buffer

    0.01M PBS, pH 7.4, containing 0.05 % Proclin-300, 50 % glycerol.

    Preservative

    ProClin

    Precaution of Use

    WARNING: Reagents contain sodium azide. Sodium azide is very toxic if ingested or inhaled. Avoid contact with skin, eyes, or clothing. Wear eye or face protection when handling. If skin or eye contact occurs, wash with copious amounts of water. If ingested or inhaled, contact a physician immediately. Sodium azide yields toxic hydrazoic acid under acidic conditions. Dilute azide-containing compounds in running water before discarding to avoid accumulation of potentially explosive deposits in lead or copper plumbing.

    Handling Advice

    Avoid repeated freeze-thaw cycles.

    Storage

    4 °C,-20 °C

    Storage Comment

    Store at 4°C for frequent use. Stored at -20°C in a manual defrost freezer for two year without detectable loss of activity. Avoid repeated freeze-thaw cycles.

    Expiry Date

    24 months
  • Target

    Complement C3 Convertase

    Background

    C4b2a, C3bBb, complement C.hivin.4.hivin2
You are here:
Chat with us!