SMPD2 antibody (AA 2-236)
Quick Overview for SMPD2 antibody (AA 2-236) (ABIN1860065)
Target
See all SMPD2 AntibodiesReactivity
Host
Clonality
Conjugate
Application
-
-
Binding Specificity
- AA 2-236
-
Purpose
- Polyclonal Antibody to Neutral Sphingomyelinase (NSMASE)
-
Specificity
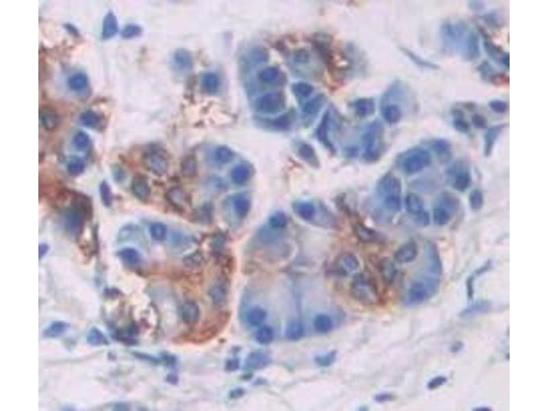
- The antibody is a rabbit polyclonal antibody raised against NSMASE. It has been selected for its ability to recognize NSMASE in immunohistochemical staining and western blotting.
-
Cross-Reactivity
- Mouse, Rat
-
Purification
- Antigen-specific affinity chromatography followed by Protein A affinity chromatography
-
Immunogen
- RPD058Hu01Recombinant Neutral Sphingomyelinase (NSMASE)
-
Isotype
- IgG
-
-
-
-
Application Notes
- Western blotting: 0.5-2 μg/mL,Immunohistochemistry: 5-20 μg/mL,Immunocytochemistry: 5-20 μg/mL,Optimal working dilutions must be determined by end user.
-
Comment
-
The thermal stability is described by the loss rate. The loss rate was determined by accelerated thermal degradation test, that is, incubate the protein at 37°C for 48h, and no obvious degradation and precipitation were observed. The loss rate is less than 5% within the expiration date under appropriate storage condition.
-
Restrictions
- For Research Use only
-
-
-
Format
- Liquid
-
Concentration
- 0.5 mg/mL
-
Buffer
- PBS, pH 7.4, containing 0.02 % Sodium azide, 50 % glycerol.
-
Preservative
- Sodium azide
-
Precaution of Use
- WARNING: Reagents contain sodium azide. Sodium azide is very toxic if ingested or inhaled. Avoid contact with skin, eyes, or clothing. Wear eye or face protection when handling. If skin or eye contact occurs, wash with copious amounts of water. If ingested or inhaled, contact a physician immediately. Sodium azide yields toxic hydrazoic acid under acidic conditions. Dilute azide-containing compounds in running water before discarding to avoid accumulation of potentially explosive deposits in lead or copper plumbing.
-
Handling Advice
- Avoid repeated freeze-thaw cycles.
-
Storage
- 4 °C,-20 °C
-
Storage Comment
- Store at 4°C for frequent use. Stored at -20°C in a manual defrost freezer for two year without detectable loss of activity. Avoid repeated freeze-thaw cycles.
-
Expiry Date
- 12 months
-
-
- SMPD2 (Sphingomyelin phosphodiesterase 2, Neutral Membrane (Neutral Sphingomyelinase) (SMPD2))
-
Alternative Name
- NSMASE
-
Background
- SMPD2, N-SMase, ISC1, Neutral Sphingomyelin Phosphodiesterase, Sphingomyelin Phosphodiesterase 2,Neutral Membrane, Lyso-platelet-activating factor-phospholipase C
-
Pathways
- Neurotrophin Signaling Pathway
Target
-