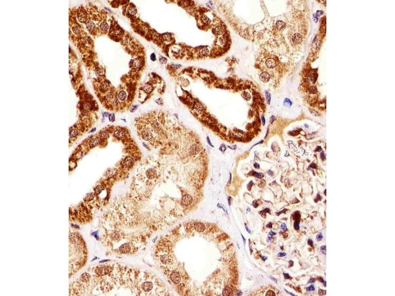
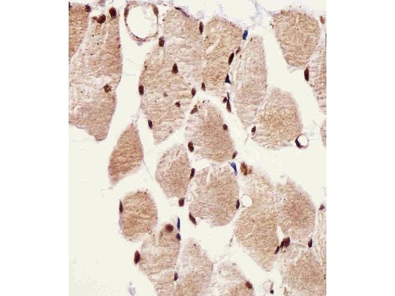
There is 1 publication for this product available. The Rabbit Polyclonal anti-SSNA1 antibody is suitable to detect SSNA1 in samples from Human. It has been validated for WB and IHC (p).
Western Blotting (WB), Immunohistochemistry (Paraffin-embedded Sections) (IHC (p))
Binding Specificity
AA 25-53, N-Term
Predicted Reactivity
B, M
Purification
This antibody is purified through a protein A column, followed by peptide affinity purification.
Immunogen
This SSNA1 antibody is generated from rabbits immunized with a KLH conjugated synthetic peptide between 25-53 amino acids from the N-terminal region of human SSNA1.
Purified polyclonal antibody supplied in PBS with 0.09 % (W/V) sodium azide.
Preservative
Sodium azide
Precaution of Use
This product contains Sodium azide: a POISONOUS AND HAZARDOUS SUBSTANCE which should be handled by trained staff only.
Storage
4 °C,-20 °C
Expiry Date
6 months
Ramos-Morales, Infante, Fedriani, Bornens, Rios: "NA14 is a novel nuclear autoantigen with a coiled-coil domain." in: The Journal of biological chemistry, Vol. 273, Issue 3, pp. 1634-9, (1998) (PubMed).