Phone:
+1 877 302 8632
Fax:
+1 888 205 9894 (Toll-free)
E-Mail:
orders@antibodies-online.com

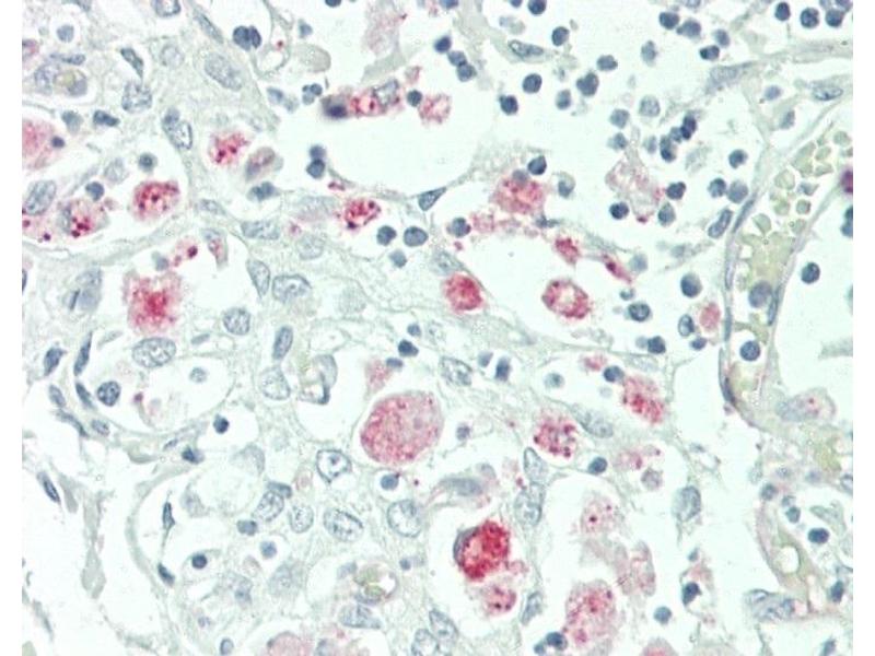
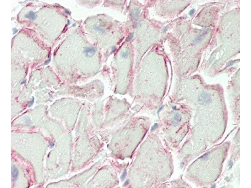
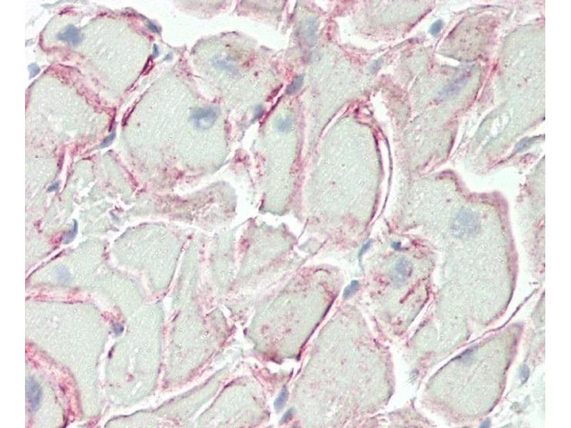
TMIGD2 antibody (AA 119-147)

There is 1 publication for this product available. The Rabbit Polyclonal anti-TMIGD2 antibody is suitable to detect TMIGD2 in samples from Human. It has been validated for WB and IHC (p).
Catalog No. ABIN1881890
$451.00
Plus shipping costs $50.00
Shipping to: United States
Delivery in 10 to 12 Business Days

Quick Overview for TMIGD2 antibody (AA 119-147) (ABIN1881890)

Target

See all TMIGD2 Antibodies
TMIGD2 (Transmembrane and Immunoglobulin Domain Containing 2 (TMIGD2))

Reactivity

  • 20
  • 1
Human

Host

  • 13
  • 7
Rabbit

Clonality

  • 13
  • 7
Polyclonal

Conjugate

  • 7
  • 4
  • 2
  • 2
  • 2
  • 2
  • 1
This TMIGD2 antibody is un-conjugated

Application

  • 12
  • 10
  • 2
  • 2
  • 1
  • 1
  • 1
  • 1
Western Blotting (WB), Immunohistochemistry (Paraffin-embedded Sections) (IHC (p))

Clone

RB41616
You are here:
Chat with us!