Phone:
+1 877 302 8632
Fax:
+1 888 205 9894 (Toll-free)
E-Mail:
orders@antibodies-online.com

CSE1L antibody (N-Term)

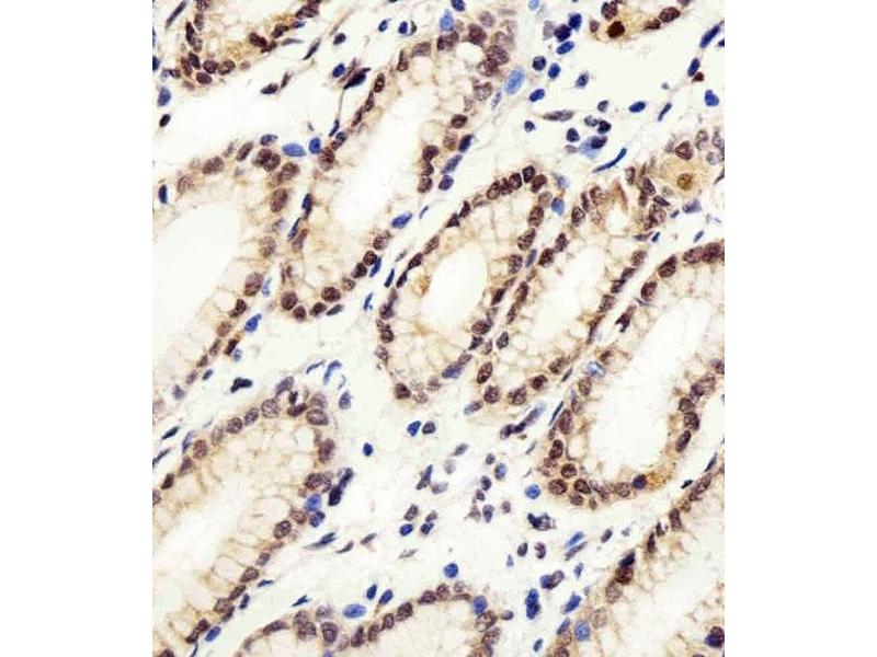
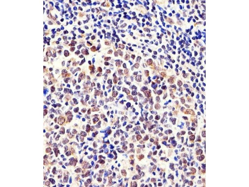
There are 8+ publications for this product available. The Rabbit Polyclonal anti-CSE1L antibody is suitable to detect CSE1L in samples from Human and Mouse. It has been validated for WB, IF and IHC (p).
Catalog No. ABIN1882070
$451.00
Plus shipping costs $50.00
Shipping to: United States
Delivery in 10 to 12 Business Days

Quick Overview for CSE1L antibody (N-Term) (ABIN1882070)

Target

CSE1L (Chromosome Segregation 1-Like (CSE1L))

Reactivity

  • 9
  • 9
  • 7
Human, Mouse

Host

  • 9
Rabbit

Clonality

  • 7
  • 2
Polyclonal

Conjugate

  • 2
  • 1
  • 1
  • 1
  • 1
  • 1
  • 1
  • 1
This CSE1L antibody is un-conjugated

Application

Western Blotting (WB), Immunofluorescence (IF), Immunohistochemistry (Paraffin-embedded Sections) (IHC (p))

Clone

RB9332
  • Binding Specificity

    AA 55-84, N-Term

    Predicted Reactivity

    B, Zf

    Purification

    This antibody is prepared by Saturated Ammonium Sulfate (SAS) precipitation followed by dialysis against PBS.

    Immunogen

    This Cellular Apoptosis Susceptibility antibody is generated from rabbits immunized with a KLH conjugated synthetic peptide between 55-84 amino acids from the N-terminal region of human Cellular Apoptosis Susceptibility.

    Isotype

    Ig Fraction
  • Application Notes

    IF: 1:100. WB: 1:1000. WB: 1:1000. IHC-P: 1:100. IHC-P: 1:100

    Restrictions

    For Research Use only
  • Format

    Liquid

    Buffer

    Purified polyclonal antibody supplied in PBS with 0.09 % (W/V) sodium azide.

    Preservative

    Sodium azide

    Precaution of Use

    This product contains Sodium azide: a POISONOUS AND HAZARDOUS SUBSTANCE which should be handled by trained staff only.

    Storage

    4 °C,-20 °C

    Expiry Date

    6 months
  • Stella Tsai, Chen, Tung, Tsou, Tsao, Liao, Chen, Yeh, Yeh, Jiang: "Serum cellular apoptosis susceptibility protein is a potential prognostic marker for metastatic colorectal cancer." in: The American journal of pathology, Vol. 176, Issue 4, pp. 1619-28, (2010) (PubMed).

    Uen, Tai, Shen, Lee, Tsao, Deng, Chiou, Hsu, Hsieh, Liao, Jiang: "Differential distributions of CSE1L/CAS and E-cadherin in the polarized and non-polarized epithelial glands of neoplastic colorectal epithelium." in: Journal of molecular histology, Vol. 41, Issue 4-5, pp. 259-66, (2010) (PubMed).

    Tung, Tsai, Tung, Tsao, Chen, Yeh, Liao, Jiang: "Higher prevalence of secretory CSE1L/CAS in sera of patients with metastatic cancer." in: Cancer epidemiology, biomarkers & prevention : a publication of the American Association for Cancer Research, cosponsored by the American Society of Preventive Oncology, Vol. 18, Issue 5, pp. 1570-7, (2009) (PubMed).

    Goldberg, Alexander, Pellicena, Zhang, Tsuda, Miller: "Src phosphorylates Cas on tyrosine 253 to promote migration of transformed cells." in: The Journal of biological chemistry, Vol. 278, Issue 47, pp. 46533-40, (2003) (PubMed).

    Behrens, Brinkmann, Wellmann: "CSE1L/CAS: its role in proliferation and apoptosis." in: Apoptosis : an international journal on programmed cell death, Vol. 8, Issue 1, pp. 39-44, (2003) (PubMed).

    Jiang, Liao, Tai: "CAS/CSE 1 stimulates E-cadhrin-dependent cell polarity in HT-29 human colon epithelial cells." in: Biochemical and biophysical research communications, Vol. 294, Issue 4, pp. 900-5, (2002) (PubMed).

    Wellmann, Flemming, Behrens, Wuppermann, Lang, Oldhafer, Pastan, Brinkmann: "High expression of the proliferation and apoptosis associated CSE1L/CAS gene in hepatitis and liver neoplasms: correlation with tumor progression." in: International journal of molecular medicine, Vol. 7, Issue 5, pp. 489-94, (2001) (PubMed).

    Brinkmann, Brinkmann, Bera, Wellmann, Pastan: "Tissue-specific alternative splicing of the CSE1L/CAS (cellular apoptosis susceptibility) gene." in: Genomics, Vol. 58, Issue 1, pp. 41-9, (1999) (PubMed).

  • Target

    CSE1L (Chromosome Segregation 1-Like (CSE1L))

    Alternative Name

    Cellular Apoptosis Susceptibility

    Background

    Proteins that carry a nuclear localization signal (NLS) are transported into the nucleus by the importin-alpha/beta heterodimer. Importin-alpha binds the NLS, while importin-beta mediates translocation through the nuclear pore complex. After translocation, RanGTP binds importin-beta and displaces importin-alpha. Importin-alpha must then be returned to the cytoplasm, leaving the NLS protein behind. CSE1L binds strongly to NLS-free importin-alpha, and this binding is released in the cytoplasm by the combined action of RANBP1 and RANGAP1. In addition, CSE1L may play a role both in apoptosis and in cell proliferation.

    Molecular Weight

    110417

    NCBI Accession

    NP_001243064, NP_001307

    UniProt

    P55060
You are here:
Chat with us!