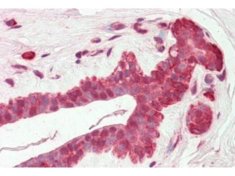
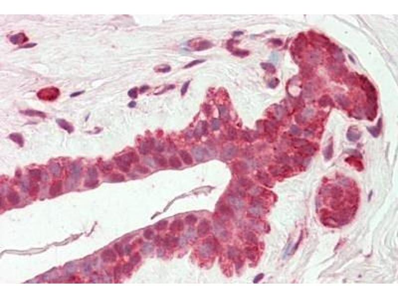
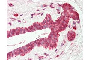
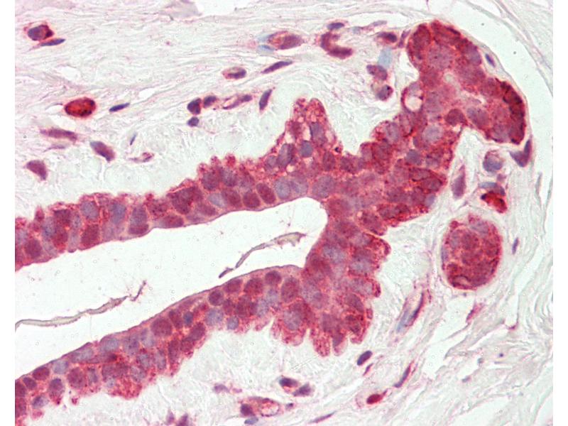
AMIGO2 antibody (C-Term)
Quick Overview for AMIGO2 antibody (C-Term) (ABIN1892746)
Target
See all AMIGO2 AntibodiesReactivity
Host
Clonality
Conjugate
Application
-
-
Binding Specificity
- C-Term
-
Purification
- Affinity purified
-
Immunogen
-
A 15 amino acid peptide from near the C terminal residues of human AMIGO2
Type of Immunogen: Synthetic peptide -
Isotype
- IgG
-
-
-
-
Application Notes
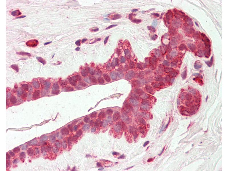
- Approved: ELISA (1:80000), IHC, IHC-P (10 μg/mL)
-
Comment
-
Target Species of Antibody: Human
-
Restrictions
- For Research Use only
-
-
-
Format
- Liquid
-
Concentration
- Lot specific
-
Buffer
- PBS, pH 7.4, 0.02 % sodium azide
-
Preservative
- Sodium azide
-
Precaution of Use
- This product contains Sodium azide: a POISONOUS AND HAZARDOUS SUBSTANCE which should be handled by trained staff only.
-
Storage
- -20 °C
-
Storage Comment
- Store at -20°C for up to 1 year.
-
Expiry Date
- 12 months
-
-
- AMIGO2 (Adhesion Molecule with Ig-Like Domain 2 (AMIGO2))
-
Alternative Name
- AMIGO2
-
Background
-
Name/Gene ID: AMIGO2
Synonyms: AMIGO2, ALI1, Alivin 1, Alivin-1, Alvin 1, AMIGO-2, Amphoterin induced gene 2, Amphoterin-induced protein 2, Transmembrane protein AMIGO2, DEGA -
Gene ID
- 347902
Target
-