FUT2 antibody (AA 27-40)
Quick Overview for FUT2 antibody (AA 27-40) (ABIN1896828)
Target
See all FUT2 AntibodiesReactivity
Host
Clonality
Conjugate
Application
-
-
Binding Specificity
- AA 27-40
-
Specificity
- Human FUT2 / SE. Reported variants represent identical protein: NP_001091107.1, NP_000502.4
-
Purification
- Immunoaffinity purified
-
Immunogen
-
Synthetic peptide C-HVQQRLAKIQAMWE from an internal region (near N-terminus) of human FUT2 / SE (NP_000502.4). Percent identity by BLAST analysis: Human, Chimpanzee, Gorilla, Gibbon (100%), Orangutan, Marmoset (93%), Monkey (86%).
Type of Immunogen: Synthetic peptide
-
-
-
-
Application Notes
-
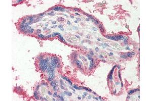
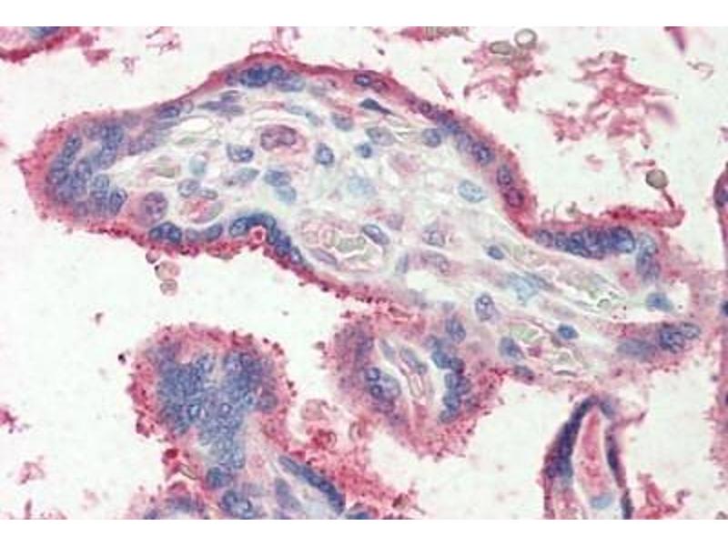
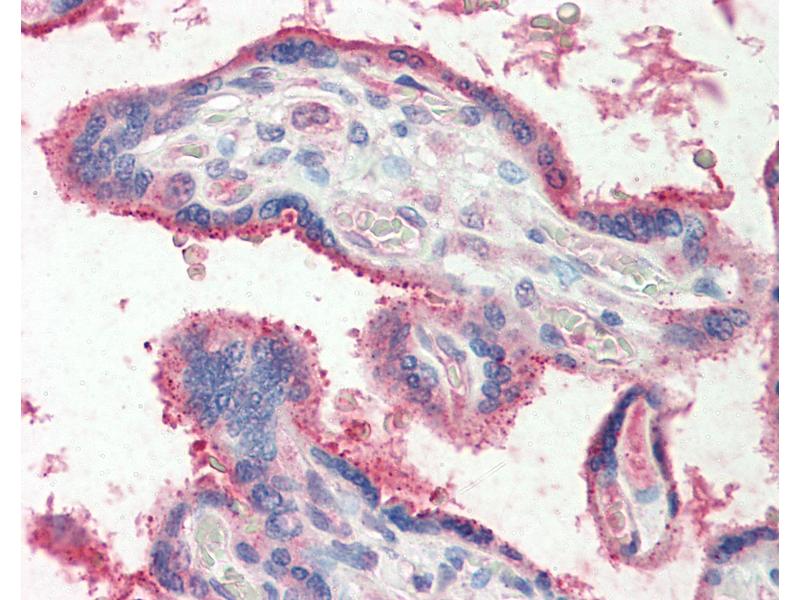
Approved: IHC, IHC-P (5 μg/mL), Peptide-ELISA (1:64000), WB (1 - 3 μg/mL)
Usage: Peptide ELISA: antibody detection limit dilution 1:64000. Western blot: Approx 37kD band observed in Human Liver lysates (calculated MW of 39.0kD according to NP_000502.4. Recommended concentration: 1-3 μg/mL. -
Comment
-
Target Species of Antibody: Human
-
Restrictions
- For Research Use only
-
-
-
Format
- Liquid
-
Concentration
- Lot specific
-
Buffer
- Tris-buffered saline, pH 7.3, 0.5 % BSA, 0.02 % sodium azide
-
Preservative
- Sodium azide
-
Precaution of Use
- This product contains Sodium azide: a POISONOUS AND HAZARDOUS SUBSTANCE which should be handled by trained staff only.
-
Handling Advice
- Minimize freezing and thawing.
-
Storage
- -20 °C
-
Storage Comment
- Store at -20°C. Avoid freeze-thaw cycles.
-
-
- FUT2 (Fucosyltransferase 2 (Secretor Status Included) (FUT2))
-
Alternative Name
- FUT2 / SE
-
Background
-
Name/Gene ID: FUT2
Synonyms: FUT2, Alpha (1,2) fucosyltransferase, Alpha(1,2)FT2, Alpha(1,2)FT 2, SEC2, Se2, Secretor factor, Sej, B12QTL1, Fucosyltransferase 2, SE -
Gene ID
- 2524
-
NCBI Accession
- NP_000502
Target
-