RER1 antibody (C-Term)
Quick Overview for RER1 antibody (C-Term) (ABIN190761)
Target
See all RER1 AntibodiesReactivity
Host
Clonality
Conjugate
Application
Grade
-
-
Binding Specificity
- C-Term
-
Purpose
- RER1
-
Sequence
- HGKRRYRGKE DAGK
-
Cross-Reactivity
- Human
-
Purification
- Purified from goat serum by ammonium sulphate precipitation followed by antigen affinity chromatography using the immunizing peptide.
-
Immunogen
- Peptide with sequence C-HGKRRYRGKEDAGK, from the C Terminus of the protein sequence according to NP_008964.3.
-
Isotype
- IgG
-
-
-
-
Application Notes
-
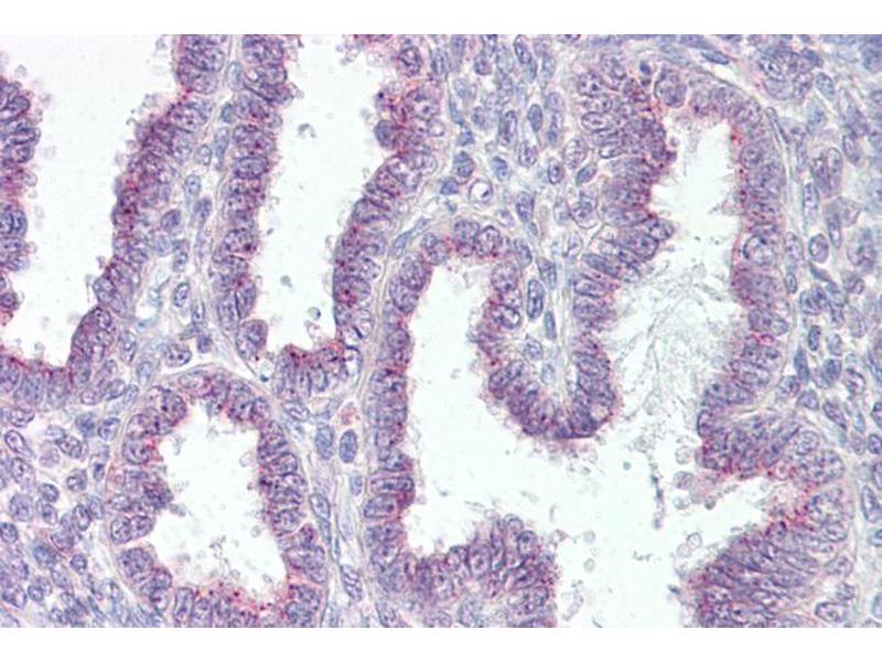
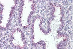
Immunohistochemistry: Paraffin embedded Human Uterus. Recommended concentration: 3.75 μg/mL.
Western Blot: Preliminary experiments gave an approx 45 kDa band in Human Brain lysates after 0.01 μg/mL antibody staining. Please note that currently we cannot find an explanation in the literature for the band we observe given the calculated size of 22.9
Peptide ELISA: antibody detection limit dilution 1:128000.
-
Restrictions
- For Research Use only
-
-
-
Format
- Liquid
-
Concentration
- 0.5 mg/mL
-
Buffer
- Supplied at 0.5 mg/mL in Tris saline, 0.02 % sodium azide, pH 7.3 with 0.5 % bovine serum albumin.
-
Preservative
- Sodium azide
-
Precaution of Use
- This product contains Sodium azide: a POISONOUS AND HAZARDOUS SUBSTANCE which should be handled by trained staff only.
-
Handling Advice
- Minimize freezing and thawing.
-
Storage
- -20 °C
-
Storage Comment
- Aliquot and store at -20°C, with minimal freeze/thawing. A working aliquot may be refrigerated at 4°C for a few weeks and still remain viable.
-
-
- RER1 (RER1 Retention in Endoplasmic Reticulum 1 Homolog (RER1))
-
Alternative Name
- RER1
-
Background
- RER1, RER1 retention in endoplasmic reticulum 1 homolog (S. cerevisiae), RP4-740C4.2, RER1 homolog, RER1 retention in endoplasmic reticulum 1
-
Gene ID
- 11079, 67830
-
NCBI Accession
- NP_008964
Target
-