Phone:
+1 877 302 8632
Fax:
+1 888 205 9894 (Toll-free)
E-Mail:
orders@antibodies-online.com

P4HA1 antibody (Internal Region)

The Goat Polyclonal anti-P4HA1 antibody is suitable to detect P4HA1 in samples from Human. It has been validated for ELISA, IHC and IF.
Catalog No. ABIN190847
$488.25
Plus shipping costs $50.00
100 μg
Shipping to: United States
Delivery in 1 to 3 Business Days

Quick Overview for P4HA1 antibody (Internal Region) (ABIN190847)

Target

See all P4HA1 Antibodies
P4HA1 (Prolyl 4-Hydroxylase, alpha Polypeptide I (P4HA1))

Reactivity

  • 30
  • 10
  • 6
  • 4
  • 3
  • 3
  • 2
  • 2
  • 1
  • 1
Human

Host

  • 29
  • 3
Goat

Clonality

  • 31
  • 1
Polyclonal

Conjugate

  • 23
  • 3
  • 2
  • 2
  • 1
  • 1
This P4HA1 antibody is un-conjugated

Application

  • 26
  • 15
  • 9
  • 5
  • 3
  • 3
  • 1
ELISA, Immunohistochemistry (IHC), Immunofluorescence (IF)

Grade

Verified
  • Binding Specificity

    • 8
    • 6
    • 3
    • 3
    • 2
    • 1
    • 1
    • 1
    • 1
    • 1
    • 1
    • 1
    Internal Region

    Purpose

    P4HA1

    Sequence

    DFARKDEPDA FKE

    Specificity

    This antibody is expected to recognise both reported isoforms (NP_000908.2 and NP_001017962.1).

    Cross-Reactivity

    Cow, Dog, Human

    Purification

    Purified from goat serum by ammonium sulphate precipitation followed by antigen affinity chromatography using the immunizing peptide.

    Immunogen

    Peptide with sequence C-DFARKDEPDAFKE, from the internal region of the protein sequence according to NP_000908.2, NP_001017962.1.

    Isotype

    IgG
  • Application Notes

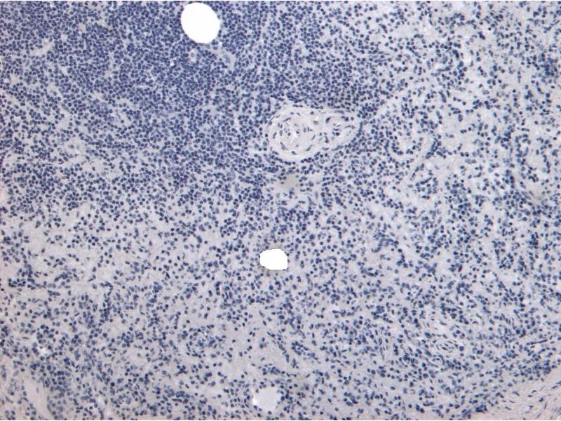
    Immunohistochemistry: Paraffin embedded Human Spleen. Recommended concentration: 7 μg/mL.

    Peptide ELISA: antibody detection limit dilution 1:128000.

    Comment

    Immunofluorescence: Strong expression of the protein seen in the ER and cytoplasm of A431 cells. Recommended concentration: 10μg/ml.

    Restrictions

    For Research Use only
  • Format

    Liquid

    Concentration

    0.5 mg/mL

    Buffer

    Supplied at 0.5 mg/mL in Tris saline, 0.02 % sodium azide, pH 7.3 with 0.5 % bovine serum albumin.

    Preservative

    Sodium azide

    Precaution of Use

    This product contains Sodium azide: a POISONOUS AND HAZARDOUS SUBSTANCE which should be handled by trained staff only.

    Handling Advice

    Minimize freezing and thawing.

    Storage

    -20 °C

    Storage Comment

    Aliquot and store at -20°C, with minimal freeze/thawing. A working aliquot may be refrigerated at 4°C for a few weeks and still remain viable.
  • Target

    P4HA1 (Prolyl 4-Hydroxylase, alpha Polypeptide I (P4HA1))

    Alternative Name

    P4HA1

    Background

    P4HA1, procollagen-proline, 2-oxoglutarate 4-dioxygenase (proline 4-hydroxylase), alpha polypeptide I, 4-PH alpha-1, P4HA , prolyl 4-hydroxylase, alpha I subunit

    Gene ID

    5033, 18451, 64475

    NCBI Accession

    NP_000908, NP_001017962
You are here:
Chat with us!