Phone:
+1 877 302 8632
Fax:
+1 888 205 9894 (Toll-free)
E-Mail:
orders@antibodies-online.com

SLC25A47 antibody (AA 242-254)

The Goat Polyclonal anti-SLC25A47 antibody is suitable to detect SLC25A47 in samples from Human. It has been validated for ELISA and IHC.
Catalog No. ABIN190871
$488.25
Plus shipping costs $50.00
100 μg
Shipping to: United States
Delivery in 1 to 3 Business Days

Quick Overview for SLC25A47 antibody (AA 242-254) (ABIN190871)

Target

See all SLC25A47 Antibodies
SLC25A47 (Solute Carrier Family 25, Member 47 (SLC25A47))

Reactivity

  • 1
  • 1
  • 1
Human

Host

  • 1
Goat

Clonality

  • 1
Polyclonal

Conjugate

  • 1
This SLC25A47 antibody is un-conjugated

Application

ELISA, Immunohistochemistry (IHC)

Grade

Verified
  • Binding Specificity

    AA 242-254

    Purpose

    C14orf68 (aa242-254)

    Sequence

    KSRLQADGQG QRR

    Cross-Reactivity

    Human

    Purification

    Purified from goat serum by ammonium sulphate precipitation followed by antigen affinity chromatography using the immunizing peptide.

    Immunogen

    Peptide with sequence C-KSRLQADGQGQRR, from the internal region of the protein sequence according to NP_997000.2.

    Isotype

    IgG
  • Application Notes

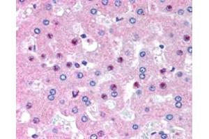
    Immunohistochemistry: In paraffin embedded Human Liver shows staining of nucleoli in select hepatocytes. Recommended concentration, 2.5 μg/mL.

    Western Blot: Preliminary experiments gave an approx 22 kDa band in Human Liver lysates after 0.5 μg/mL antibody staining. Please note that currently we cannot find an explanation in the literature for the band we observe given the calculated size of 33.4k

    Peptide ELISA: antibody detection limit dilution 1:32000.

    Restrictions

    For Research Use only
  • Format

    Liquid

    Concentration

    0.5 mg/mL

    Buffer

    Supplied at 0.5 mg/mL in Tris saline, 0.02 % sodium azide, pH 7.3 with 0.5 % bovine serum albumin.

    Preservative

    Sodium azide

    Precaution of Use

    This product contains Sodium azide: a POISONOUS AND HAZARDOUS SUBSTANCE which should be handled by trained staff only.

    Handling Advice

    Minimize freezing and thawing.

    Storage

    -20 °C

    Storage Comment

    Aliquot and store at -20°C, with minimal freeze/thawing. A working aliquot may be refrigerated at 4°C for a few weeks and still remain viable.
  • Target

    SLC25A47 (Solute Carrier Family 25, Member 47 (SLC25A47))

    Alternative Name

    C14orf68

    Background

    C14orf68, chromosome 14 open reading frame 68 , HDMCP, HMFN1655 , hepatocellular carcinoma-downregulated mitochondrial carrier protein

    Gene ID

    283600

    NCBI Accession

    NP_997000
You are here:
Chat with us!