Phone:
+1 877 302 8632
Fax:
+1 888 205 9894 (Toll-free)
E-Mail:
orders@antibodies-online.com

OSBPL5 antibody (N-Term)

This Goat Polyclonal antibody specifically detects OSBPL5 in WB, ELISA, IF, FACS and IHC. It exhibits reactivity toward Human and Rat.
Catalog No. ABIN190918
$488.25
Plus shipping costs $50.00
100 μg
Shipping to: United States
Delivery in 1 to 3 Business Days

Quick Overview for OSBPL5 antibody (N-Term) (ABIN190918)

Target

See all OSBPL5 Antibodies
OSBPL5 (Oxysterol Binding Protein-Like 5 (OSBPL5))

Reactivity

Human, Rat

Host

  • 3
  • 2
Goat

Clonality

  • 5
Polyclonal

Conjugate

  • 5
This OSBPL5 antibody is un-conjugated

Application

  • 4
  • 3
  • 2
  • 2
  • 1
  • 1
Western Blotting (WB), ELISA, Immunofluorescence (IF), Flow Cytometry (FACS), Immunohistochemistry (IHC)

Grade

Verified
  • Binding Specificity

    • 1
    • 1
    • 1
    N-Term

    Purpose

    ORP5 (OBPH1)

    Sequence

    KEEAFLRRRF SLC

    Specificity

    This antibody is expected to recognise both reported isoforms. Variants (NP_663613.1, NP_001137535.1) encode the same isoform.

    Cross-Reactivity

    Dog, Human, Mouse, Rat

    Purification

    Purified from goat serum by ammonium sulphate precipitation followed by antigen affinity chromatography using the immunizing peptide.

    Immunogen

    Peptide with sequence KEEAFLRRRFSLC, from the N Terminus of the protein sequence according to NP_065947.1, NP_663613.1, NP_001137535.1.

    Isotype

    IgG
  • Application Notes

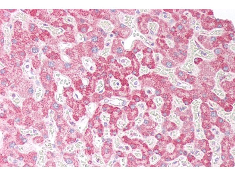
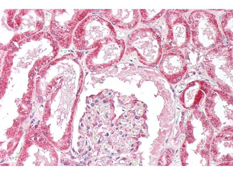
    Immunohistochemistry: Paraffin embedded Human Kidney and Liver. Recommended concentration: 5 μg/mL.

    Western Blot: Approx. 100 kDa band observed in lysates of cell line Jurkat and in Rat Spleen lysates (calculated MW of 98.4 kDa according to Human NP_065947.1 and 101.7 kDa according to Rat NP_001015024.2). Recommended concentration: 0.03=0.3 μg/mL. Primary

    Peptide ELISA: antibody detection limit dilution 1:32000.

    Comment

    Immunofluorescence: Strong expression of the protein seen in the cytoplasm of HeLa and U2OS cells. Recommended concentration: 10μg/ml.

    Flow Cytometry: Flow cytometric analysis of HeLa cells. Recommended concentration:

    Restrictions

    For Research Use only
  • Format

    Liquid

    Concentration

    0.5 mg/mL

    Buffer

    Supplied at 0.5 mg/mL in Tris saline, 0.02 % sodium azide, pH 7.3 with 0.5 % bovine serum albumin.

    Preservative

    Sodium azide

    Precaution of Use

    This product contains Sodium azide: a POISONOUS AND HAZARDOUS SUBSTANCE which should be handled by trained staff only.

    Handling Advice

    Minimize freezing and thawing.

    Storage

    -20 °C

    Storage Comment

    Aliquot and store at -20°C, with minimal freeze/thawing. A working aliquot may be refrigerated at 4°C for a few weeks and still remain viable.
  • Target

    OSBPL5 (Oxysterol Binding Protein-Like 5 (OSBPL5))

    Alternative Name

    OSBPL5

    Background

    OSBPL5, ORP5, OBPH1, FLJ31948, KIAA1534, DKFZp586H1719, oxysterol binding protein-like 5, OSBP-related protein 5, oxysterol-binding protein homologue 1, oxysterol-binding protein-related protein 5, FLJ42929, oxysterol-binding protein-like protein 5

    Gene ID

    114879, 79196

    NCBI Accession

    NP_065947, NP_663613, NP_001137535
You are here:
Chat with us!