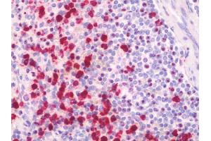
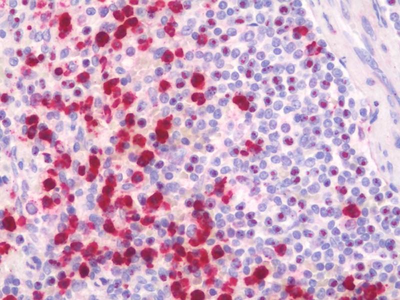
SFRS9 antibody (HRP)
Quick Overview for SFRS9 antibody (HRP) (ABIN1958269)
Target
See all SFRS9 AntibodiesReactivity
Host
Clonality
Conjugate
Application
-
-
Specificity
- Human SRSF9 / SFRS9
-
Purification
- Caprylic acid and ammonium sulfate precipitation
-
Immunogen
-
Recombinant human Serine/arginine-rich splicing factor 9 protein.
Type of Immunogen: Recombinant protein -
Isotype
- IgG
-
-
-
-
Application Notes
-
Approved: ELISA, IHC, IHC-P, WB
Usage: The applications listed have been tested for the unconjugated form of this product. Other forms have not been tested. -
Comment
-
Target Species of Antibody: Human
-
Restrictions
- For Research Use only
-
-
-
Format
- Liquid
-
Concentration
- Lot specific
-
Buffer
- PBS, pH 7.4, 0.03 % Proclin 300, 50 % glycerol.
-
Preservative
- ProClin
-
Precaution of Use
- This product contains ProClin: a POISONOUS AND HAZARDOUS SUBSTANCE which should be handled by trained staff only.
-
Handling Advice
- Avoid freeze-thaw cycles.
-
Storage
- -20 °C,-80 °C
-
Storage Comment
- Aliquot and store at -20°C or -80°C. Avoid freeze-thaw cycles.
-
-
- SFRS9 (serine/arginine-Rich Splicing Factor 9 (SFRS9))
-
Alternative Name
- SRSF9 / SFRS9
-
Background
-
Name/Gene ID: SRSF9
Synonyms: SRSF9, SR splicing factor 9, SRp30c, SFRS9, Splicing factor srp30c -
Gene ID
- 8683
-
Pathways
- Ribonucleoprotein Complex Subunit Organization
Target
-