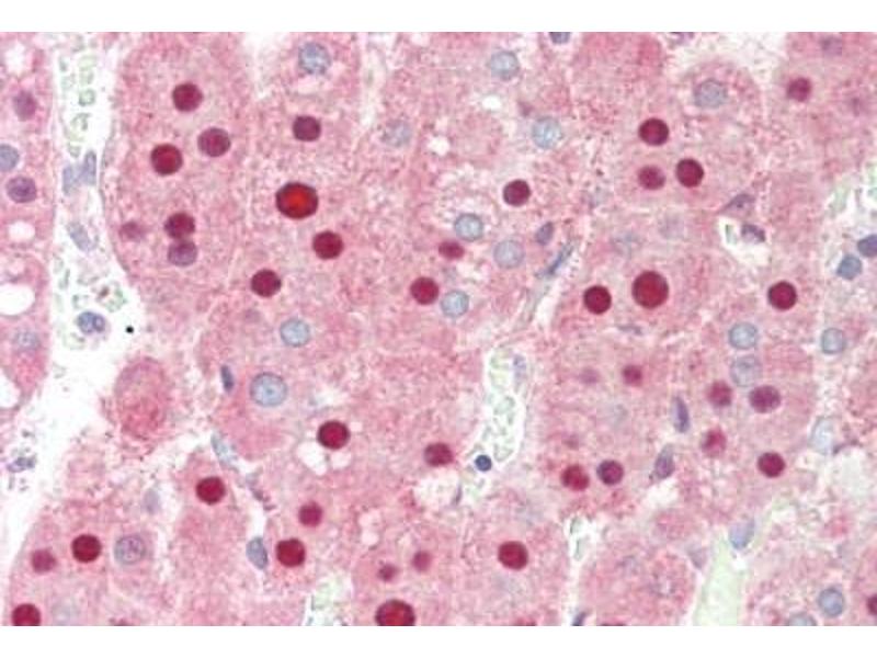
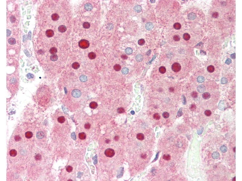
PIN1 antibody
Quick Overview for PIN1 antibody (ABIN1960131)
Target
See all PIN1 AntibodiesReactivity
Host
Clonality
Conjugate
Application
-
-
Specificity
- Human PIN1
-
Purification
- Purified
-
Immunogen
-
Recombinant full length Pin-1 purified from E. coli.
Type of Immunogen: Recombinant protein -
Isotype
- IgY
-
-
-
-
Application Notes
-
Approved: ICC (1:5000), IF (1:500 - 1:1000), IHC, IHC-P (1:500), WB (1:10000)
Usage: Try at dilutions of 1:500-1:1000 for immunofluorescence, and 1:5000 for ABC or other enzyme linked immunocytochemical procedures. For western blots try at 1:10000. -
Comment
-
Target Species of Antibody: Human
-
Restrictions
- For Research Use only
-
-
-
Format
- Liquid
-
Concentration
- Lot specific
-
Buffer
- 10 mM sodium azide.
-
Preservative
- Sodium azide
-
Precaution of Use
- This product contains Sodium azide: a POISONOUS AND HAZARDOUS SUBSTANCE which should be handled by trained staff only.
-
Handling Advice
- Avoid repeated freezing and thawing.
-
Storage
- 4 °C,-20 °C
-
Storage Comment
- 4°C or -20°C, Avoid freeze-thaw cycles.
-
-
- PIN1 (Peptidylprolyl Cis/trans Isomerase, NIMA-Interacting 1 (PIN1))
-
Alternative Name
- PIN1
-
Background
-
Name/Gene ID: PIN1
Synonyms: PIN1, DOD, PPIase Pin1, Rotamase Pin1 -
Gene ID
- 5300
Target
-