Phone:
+1 877 302 8632
Fax:
+1 888 205 9894 (Toll-free)
E-Mail:
orders@antibodies-online.com

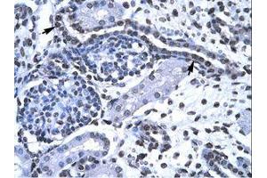
FOXG1 antibody (AA 139-169)

This Rabbit Polyclonal antibody specifically detects FOXG1 in WB, IHC and IHC (p). It exhibits reactivity toward Human, Mouse and Rat.
Catalog No. ABIN202606
$649.00
Plus shipping costs $50.00
100 μL
Shipping to: United States
Delivery in 11 to 15 Business Days

Quick Overview for FOXG1 antibody (AA 139-169) (ABIN202606)

Target

See all FOXG1 Antibodies
FOXG1 (Forkhead Box G1 (FOXG1))

Reactivity

  • 50
  • 39
  • 32
  • 2
  • 2
  • 2
  • 2
  • 2
  • 1
  • 1
  • 1
Human, Mouse, Rat

Host

  • 49
  • 3
  • 1
Rabbit

Clonality

  • 51
  • 2
Polyclonal

Conjugate

  • 23
  • 4
  • 4
  • 3
  • 1
  • 1
  • 1
  • 1
  • 1
  • 1
  • 1
  • 1
  • 1
  • 1
  • 1
  • 1
  • 1
  • 1
  • 1
  • 1
  • 1
  • 1
  • 1
This FOXG1 antibody is un-conjugated

Application

  • 39
  • 23
  • 11
  • 6
  • 5
  • 1
  • 1
  • 1
  • 1
Western Blotting (WB), Immunohistochemistry (IHC), Immunohistochemistry (Paraffin-embedded Sections) (IHC (p))
  • Binding Specificity

    • 8
    • 5
    • 5
    • 3
    • 3
    • 3
    • 2
    • 1
    • 1
    • 1
    • 1
    • 1
    AA 139-169

    Specificity

    Human FOXG1

    Predicted Reactivity

    Percent identity by BLAST analysis: Human (100%) Mouse, Rat (86%).

    Purification

    Purified

    Immunogen

    Synthetic peptide located between aa139-169 of human FOXG1 (P55316). Percent identity by BLAST analysis: Human, Gibbon, Marmoset, Mouse, Rat (86%).

    Type of Immunogen: Synthetic peptide
  • Application Notes

    Approved: IHC, IHC-P, WB (5 - 8 μg/mL)

    Comment

    Target Species of Antibody: Human

    Restrictions

    For Research Use only
  • Format

    Lyophilized

    Reconstitution

    dH2O

    Concentration

    Lot specific

    Buffer

    Lyophilized from PBS with 2 % sucrose

    Handling Advice

    Avoid repeat freeze-thaw cycles.

    Storage

    4 °C,-20 °C

    Storage Comment

    Long term: -20°C, the use of 50% glycerol is recommended if storing aliquots in -20°C for long term use (up to 1 year)
    Short term (less than 1 week): 4°C. Avoid freeze-thaw cycles.
  • Target

    FOXG1 (Forkhead Box G1 (FOXG1))

    Alternative Name

    BF1 / FOXG1

    Background

    Name/Gene ID: FOXG1
    Family: Transcription factor

    Synonyms: FOXG1, BF1, BF2, Brain factor 1, BF-2, FKHL1, FKHL2, Forkhead box G1A, Forkhead box protein G1, Forkhead box protein G1A, Forkhead-related protein FKHL1, Forkhead-related protein FKHL2, FOXG1A, FOXG1B, FOXG1C, Forkhead box protein G1B, Forkhead-like 2, Forkhead-like 4, HBF2, HBF-1, HFK1, FKH2, FKHL3, FKHL4, Forkhead box G1, Forkhead box G1B, Forkhead box G1C, Forkhead-like 1, Forkhead-related protein FKHL3, HBF-3, HBF-G2, HFK3, Transcription factor bf-2, Oncogene QIN, QIN, BF-1, Brain factor 2, FHKL3, Forkhead box protein G1C, Forkhead-like 3, HBF-2, HFK2, KHL2

    Gene ID

    2290

    UniProt

    P55316
You are here:
Chat with us!