GEM antibody (AA 219-270)
Quick Overview for GEM antibody (AA 219-270) (ABIN203412)
Target
See all GEM AntibodiesReactivity
Host
Clonality
Conjugate
Application
-
-
Binding Specificity
- AA 219-270
-
Specificity
- Human GEM
-
Predicted Reactivity
- Percent identity by BLAST analysis: Human, Mouse, Rat, Dog, Bovine, Pig (100%) Chicken (92%).
-
Purification
- Protein A purified
-
Immunogen
-
Synthetic peptide located between aa219-270 of human GEM (P55040, NP_005252). Percent identity by BLAST analysis: Human, Chimpanzee, Gorilla, Orangutan, Gibbon, Monkey, Galago, Marmoset, Mouse, Rat, Hamster, Elephant, Panda, Dog, Bovine, Bat, Rabbit, Horse, Pig, Opossum, Guinea pig, Xenopus (100%), Turkey, Chicken, Lizard (92%), Zebra finch (85%).
Type of Immunogen: Synthetic peptide -
Isotype
- IgG
-
-
-
-
Application Notes
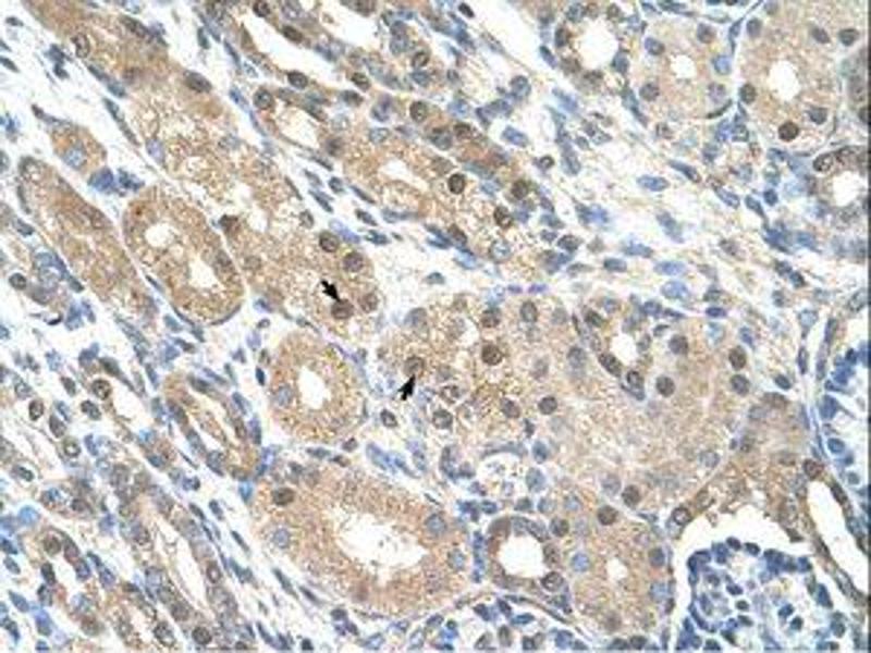
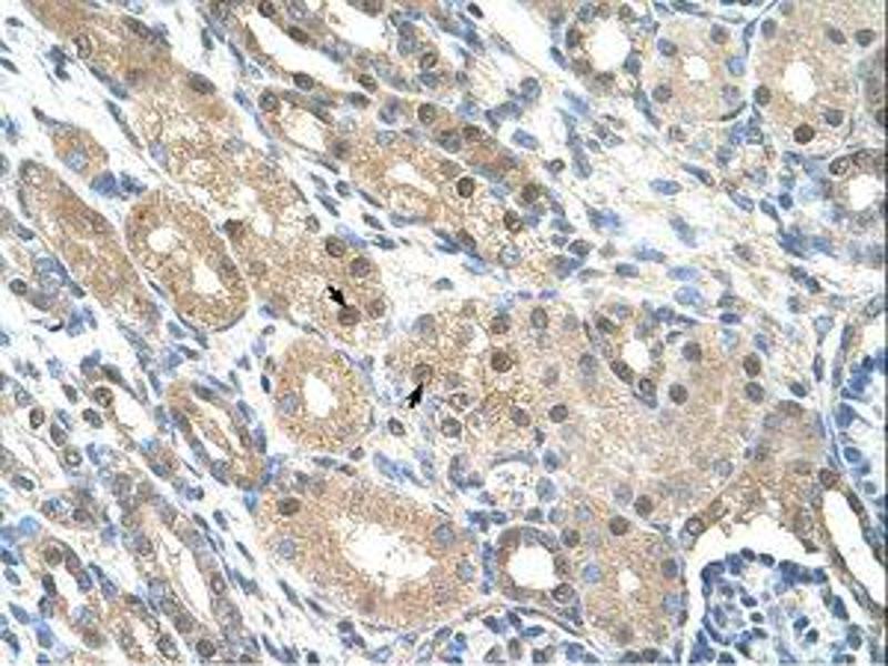
- Approved: IHC, IHC-P, WB (2.5 μg/mL)
-
Comment
-
Target Species of Antibody: Human
-
Restrictions
- For Research Use only
-
-
-
Format
- Lyophilized
-
Reconstitution
- After adding water, will consist of PBS buffer with 2 % sucrose
-
Concentration
- Lot specific
-
Buffer
- Lyophilized from PBS with 2 % sucrose
-
Handling Advice
- Avoid repeat freeze-thaw cycles.
-
Storage
- 4 °C,-20 °C
-
Storage Comment
-
Long term: -20°C, the use of 50% glycerol is recommended if storing aliquots in -20°C for long term use (up to 1 year)
Short term (less than 1 week): 4°C. Avoid freeze-thaw cycles.
-
-
-