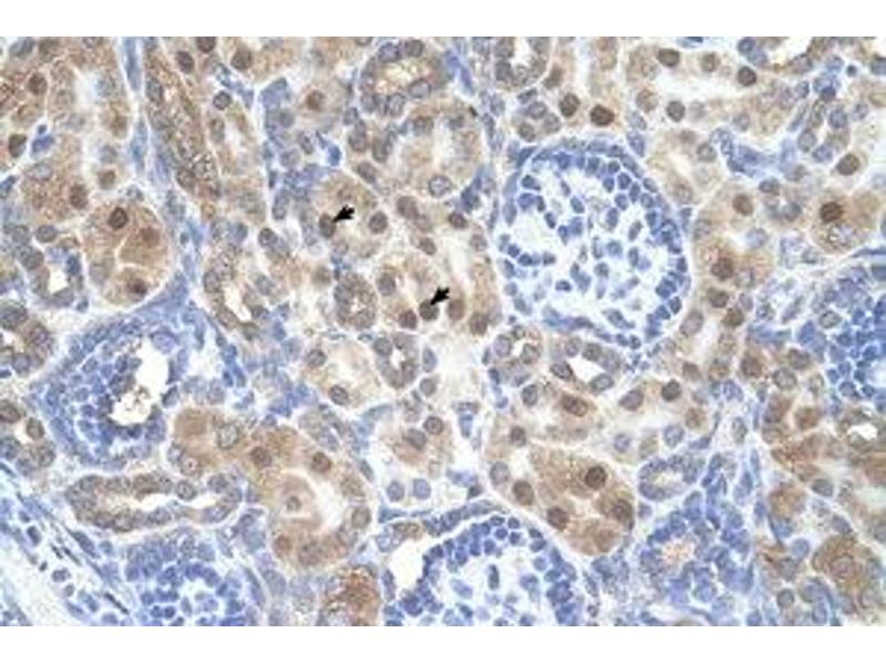
ARMCX6 antibody (AA 64-113)
Quick Overview for ARMCX6 antibody (AA 64-113) (ABIN205053)
Target
Reactivity
Host
Clonality
Conjugate
Application
-
-
Binding Specificity
- AA 64-113
-
Specificity
- Human ARMCX6
-
Predicted Reactivity
- Percent identity by BLAST analysis: Human, Mouse (100%) Rat (92%).
-
Purification
- Protein A purified
-
Immunogen
-
Synthetic peptide located between aa64-113 of human ARMCX6 (Q7L4S7, NP_061880). Percent identity by BLAST analysis: Human, Chimpanzee, Gorilla, Monkey, Marmoset, Mouse (100%), Rat, Pig, Guinea pig (92%), Elephant, Panda, Horse (85%).
Type of Immunogen: Synthetic peptide -
Isotype
- IgG
-
-
-
-
Application Notes
- Approved: IHC, IHC-P, WB (5 μg/mL)
-
Comment
-
Target Species of Antibody: Human
-
Restrictions
- For Research Use only
-
-
-
Format
- Lyophilized
-
Reconstitution
- After adding water, will consist of PBS buffer with 2 % sucrose
-
Concentration
- Lot specific
-
Buffer
- Lyophilized from PBS with 2 % sucrose
-
Storage
- 4 °C,-20 °C
-
Storage Comment
-
Long term: -20°C, the use of 50% glycerol is recommended if storing aliquots in -20°C for long term use (up to 1 year)
Short term (less than 1 week): 4°C. Avoid freeze-thaw cycles.
-
-
- ARMCX6 (Armadillo Repeat Containing, X-Linked 6 (ARMCX6))
-
Alternative Name
- ARMCX6
-
Background
-
Name/Gene ID: ARMCX6
Synonyms: ARMCX6, Protein ARMCX6 -
Gene ID
- 54470
-
NCBI Accession
- NP_061880
Target
-