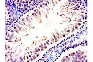
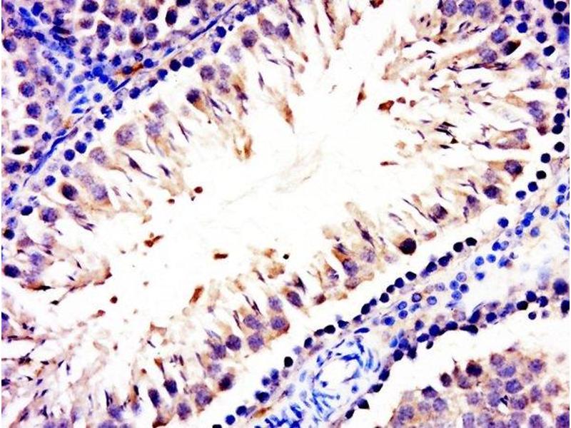
LCA5L antibody (AA 301-400)
Quick Overview for LCA5L antibody (AA 301-400) (ABIN2171193)
Target
Reactivity
Host
Clonality
Conjugate
Application
-
-
Binding Specificity
- AA 301-400
-
Cross-Reactivity
- Rat
-
Predicted Reactivity
- Human,Mouse,Horse
-
Purification
- Purified by Protein A.
-
Immunogen
- KLH conjugated synthetic peptide derived from human C21ORF13
-
Isotype
- IgG
-
-
-
-
Application Notes
-
ELISA 1:500-1000
IHC-P 1:200-400
IHC-F 1:100-500
IF(IHC-P) 1:50-200
IF(IHC-F) 1:50-200
IF(ICC) 1:50-200
ICC 1:100-500 -
Restrictions
- For Research Use only
-
-
-
Format
- Liquid
-
Concentration
- 1 μg/μL
-
Buffer
- 0.01M TBS( pH 7.4) with 1 % BSA, 0.02 % Proclin300 and 50 % Glycerol.
-
Preservative
- ProClin
-
Precaution of Use
- This product contains ProClin: a POISONOUS AND HAZARDOUS SUBSTANCE, which should be handled by trained staff only.
-
Storage
- 4 °C,-20 °C
-
Storage Comment
- Shipped at 4°C. Store at -20°C for one year. Avoid repeated freeze/thaw cycles.
-
Expiry Date
- 12 months
-
-
- LCA5L (Leber Congenital Amaurosis 5-Like (LCA5L))
-
Alternative Name
- C21ORF13
-
Background
-
Synonyms: C21orf13, Chromosome 21 open reading frame 13, Lca5l, LCA5L_HUMAN, Leber congenital amaurosis 5 like, Leber congenital amaurosis 5 like protein, Leber congenital amaurosis 5-like protein, Lebercilin-like protein, MGC33295, OTTHUMP00000069084, OTTHUMP00000069085.
Background: C21ORF13
Target
-