SUN5 antibody (AA 161-275)
Quick Overview for SUN5 antibody (AA 161-275) (ABIN2179429)
Target
See all SUN5 AntibodiesReactivity
Host
Clonality
Conjugate
Application
-
-
Binding Specificity
- AA 161-275
-
Cross-Reactivity
- Mouse, Rat
-
Predicted Reactivity
- Human
-
Purification
- Purified by Protein A.
-
Immunogen
- KLH conjugated synthetic peptide derived from human TSARG4
-
Isotype
- IgG
-
-
-
-
Application Notes
-
WB 1:300-5000
ELISA 1:500-1000
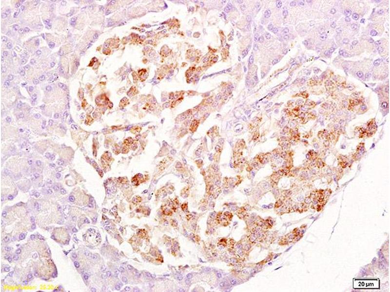
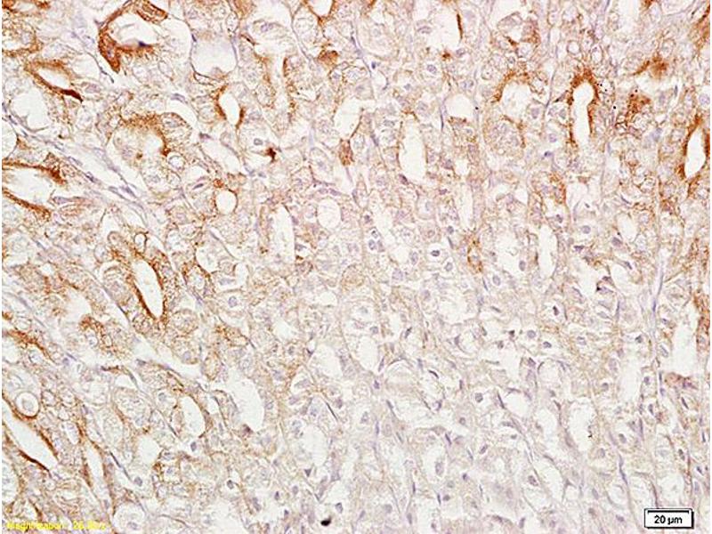
IHC-P 1:200-400
IHC-F 1:100-500
IF(IHC-P) 1:50-200
IF(IHC-F) 1:50-200
IF(ICC) 1:50-200 -
Restrictions
- For Research Use only
-
-
-
Format
- Liquid
-
Concentration
- 1 μg/μL
-
Buffer
- 0.01M TBS( pH 7.4) with 1 % BSA, 0.02 % Proclin300 and 50 % Glycerol.
-
Preservative
- ProClin
-
Precaution of Use
- This product contains ProClin: a POISONOUS AND HAZARDOUS SUBSTANCE, which should be handled by trained staff only.
-
Storage
- 4 °C,-20 °C
-
Storage Comment
- Shipped at 4°C. Store at -20°C for one year. Avoid repeated freeze/thaw cycles.
-
Expiry Date
- 12 months
-
-
- SUN5 (Sad1 and UNC84 Domain Containing 5 (SUN5))
-
Alternative Name
- SRG4/TSARG4
-
Background
-
Synonyms: SPAG4L, TSARG4, dJ726C3.1, SUN domain-containing protein 5, Sad1 and UNC84 domain-containing protein 5, Sperm-associated antigen 4-like protein, Testis and spermatogenesis-related gene 4 protein, SUN5
Background: Testis and spermatogenesis related gene 4 may play a role in the development of cryptorchidism, the failure of the testis to descend from the abdomen into the scrotum [RGD] [TISSUE SPECIFICITY] Testis.
-
Gene ID
- 140732
-
UniProt
- Q8TC36
Target
-