Phone:
+1 877 302 8632
Fax:
+1 888 205 9894 (Toll-free)
E-Mail:
orders@antibodies-online.com

PSMA antibody (C-Term)

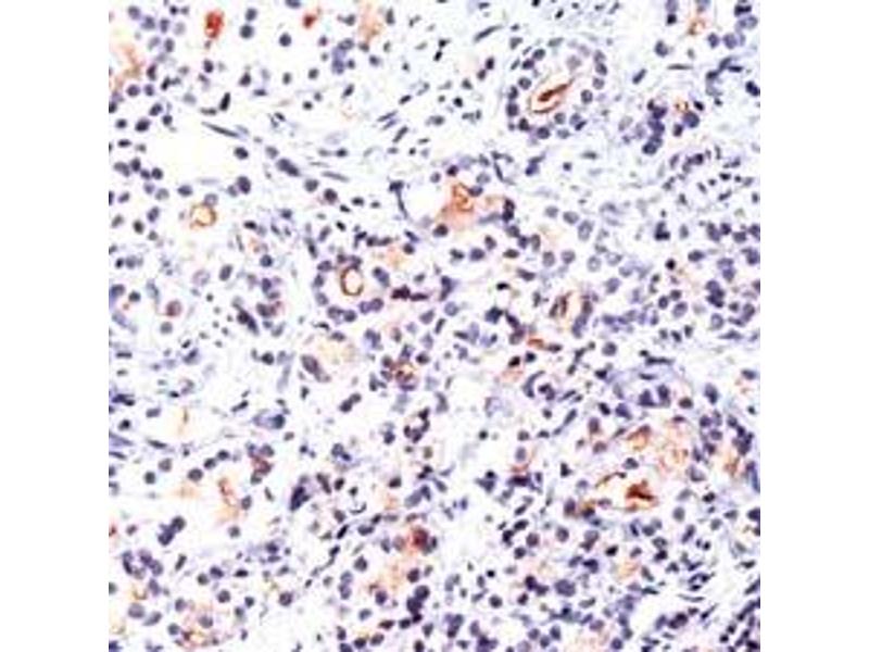
The Rabbit Polyclonal anti-PSMA antibody is suitable to detect PSMA in samples from Human. It has been validated for IHC.
Catalog No. ABIN2470727
$827.75
Plus shipping costs $50.00
250 μL
Shipping to: United States
Delivery in 2 to 4 Business Days

Quick Overview for PSMA antibody (C-Term) (ABIN2470727)

Target

See all PSMA (FOLH1) Antibodies
PSMA (FOLH1) (Folate Hydrolase (Prostate-Specific Membrane Antigen) 1 (FOLH1))

Reactivity

  • 127
  • 11
  • 9
  • 5
  • 4
  • 4
  • 3
  • 3
  • 2
  • 2
  • 1
  • 1
Human

Host

  • 58
  • 58
  • 12
  • 1
  • 1
Rabbit

Clonality

  • 95
  • 32
  • 3
Polyclonal

Conjugate

  • 82
  • 5
  • 5
  • 5
  • 2
  • 2
  • 2
  • 2
  • 2
  • 2
  • 2
  • 2
  • 2
  • 2
  • 2
  • 2
  • 2
  • 2
  • 2
  • 1
  • 1
  • 1
This PSMA antibody is un-conjugated

Application

  • 71
  • 62
  • 35
  • 18
  • 18
  • 18
  • 16
  • 10
  • 9
  • 5
  • 3
  • 2
  • 2
  • 2
  • 1
  • 1
  • 1
Immunohistochemistry (IHC)
You are here:
Chat with us!