HCN1 antibody (AA 778-910) (PE)
Quick Overview for HCN1 antibody (AA 778-910) (PE) (ABIN2483969)
Target
See all HCN1 AntibodiesReactivity
Host
Clonality
Conjugate
Application
Clone
-
-
Binding Specificity
- AA 778-910
-
Specificity
- Detects ~100 kDa. No cross-reactivity against HCN2.
-
Cross-Reactivity
- Human, Mouse, Rat
-
Purification
- Protein G Purified
-
Immunogen
- Fusion protein amino acids 778-910 (C terminus) of rat HCN1
-
Isotype
- IgG1
-
-
-
-
Application Notes
-
- WB (1:1000)
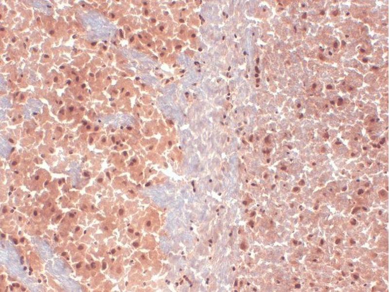
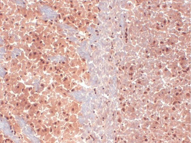
- IHC (1:1000)
- ICC/IF (1:100)
- optimal dilutions for assays should be determined by the user.
-
Comment
-
1 μg/ml of ABIN2483969 was sufficient for detection of HCN1 in 10 μg of rat brain lysate by colorimetric immunoblot analysis using Goat anti-mouse IgG:HRP as the secondary antibody.
-
Restrictions
- For Research Use only
-
-
-
Format
- Liquid
-
Concentration
- 1 mg/mL
-
Buffer
- PBS pH 7.4, 50 % glycerol, 0.09 % sodium azide, Storage buffer may change when conjugated
-
Preservative
- Sodium azide
-
Precaution of Use
- This product contains Sodium azide: a POISONOUS AND HAZARDOUS SUBSTANCE which should be handled by trained staff only.
-
Storage
- 4 °C
-
Storage Comment
- Conjugated antibodies should be stored at 4°C
-
-
- HCN1 (Hyperpolarization Activated Cyclic Nucleotide-Gated Potassium Channel 1 (HCN1))
-
Alternative Name
- HCN1
-
Background
- Hyperpolarization-activated cation channels of the HCN gene family, such as HCN1, play a crucial role in the regulatons of cell excitability. Importantly, they contribute to spontaneous rhythmic activity in both the heart and brain (1).
-
Gene ID
- 84390
-
NCBI Accession
- NP_445827
-
UniProt
- Q9JKB0
-
Pathways
- Asymmetric Protein Localization
Target
-