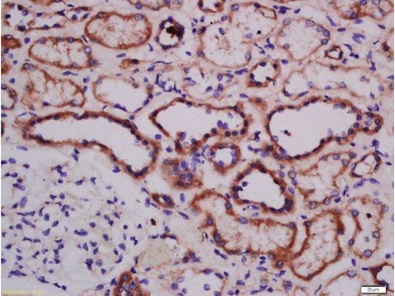
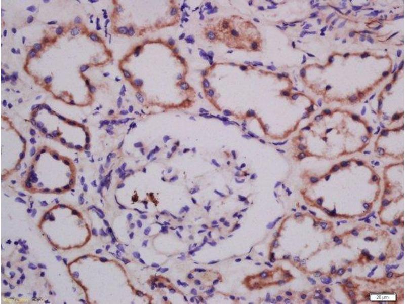
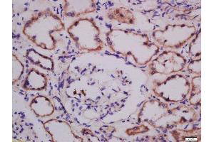
ATG101 antibody (AA 121-218)
Quick Overview for ATG101 antibody (AA 121-218) (ABIN2559562)
Target
See all ATG101 (C12orf44) AntibodiesReactivity
Host
Clonality
Conjugate
Application
-
-
Binding Specificity
- AA 121-218
-
Cross-Reactivity
- Human
-
Predicted Reactivity
- Mouse,Rat,Cow,Horse,Chicken,Rabbit
-
Purification
- Purified by Protein A.
-
Immunogen
- KLH conjugated synthetic peptide derived from human ATG101
-
Isotype
- IgG
-
-
-
-
Application Notes
-
WB 1:300-5000
ELISA 1:500-1000
IHC-P 1:200-400
IHC-F 1:100-500
IF(IHC-P) 1:50-200
IF(IHC-F) 1:50-200
IF(ICC) 1:50-200
ICC 1:100-500 -
Restrictions
- For Research Use only
-
-
-
Format
- Liquid
-
Concentration
- 1 μg/μL
-
Buffer
- 0.01M TBS( pH 7.4) with 1 % BSA, 0.02 % Proclin300 and 50 % Glycerol.
-
Preservative
- ProClin
-
Precaution of Use
- This product contains ProClin: a POISONOUS AND HAZARDOUS SUBSTANCE, which should be handled by trained staff only.
-
Storage
- 4 °C,-20 °C
-
Storage Comment
- Shipped at 4°C. Store at -20°C for one year. Avoid repeated freeze/thaw cycles.
-
Expiry Date
- 12 months
-
-
- ATG101 (C12orf44) (Chromosome 12 Open Reading Frame 44 (C12orf44))
-
Alternative Name
- ATG101
-
Background
-
Synonyms: C12orf44, Autophagy-related protein 101, ATG101, PP894
Background: Autophagy factor required for autophagosome formation. Stabilizes ATG13, protecting it from proteasomal degradation.
-
Gene ID
- 60673
-
UniProt
- Q9BSB4
-
Pathways
- Autophagy
Target
-