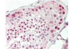
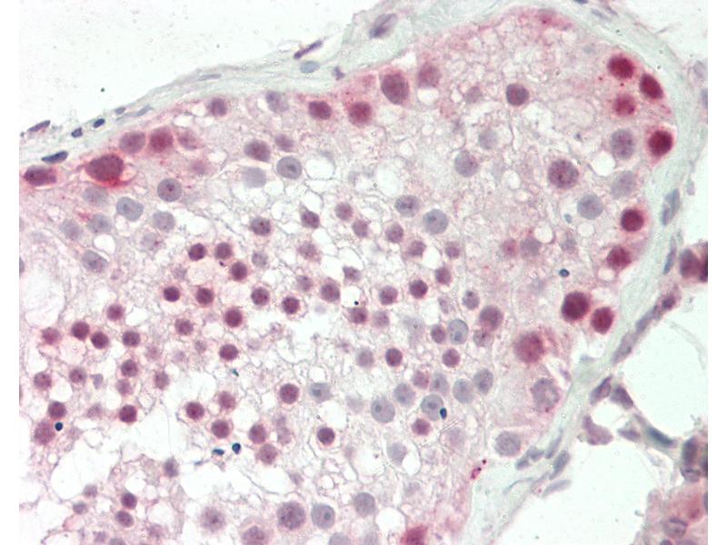
PRMT10 antibody (AA 1-50)
Quick Overview for PRMT10 antibody (AA 1-50) (ABIN2577084)
Target
Reactivity
Host
Clonality
Conjugate
Application
-
-
Binding Specificity
- AA 1-50
-
Specificity
- Region between residue 1 to 50 of human Protein Arginine Methyltransferase 10 using the numbering given in entry NP_612373.2 (GeneID 90826).
-
Purification
- Immunoaffinity purified
-
-
-
-
Application Notes
-
Approved: IHC, IHC-P (5 μg/mL), IP (2 - 10 μg/mg lysate)
Not recommended for: WB -
Comment
-
Target Species of Antibody: Human
-
Restrictions
- For Research Use only
-
-
-
Format
- Liquid
-
Concentration
- Lot specific
-
Buffer
- Tris-citrate/phosphate buffer, pH 7-8, 0.09 % sodium azide.
-
Preservative
- Sodium azide
-
Precaution of Use
- This product contains Sodium azide: a POISONOUS AND HAZARDOUS SUBSTANCE which should be handled by trained staff only.
-
Storage
- 4 °C
-
Storage Comment
- Store at 2-8°C for up to 1 year.
-
Expiry Date
- 12 months
-
-
- PRMT10 (Protein Arginine Methyltransferase 10 (PRMT10))
-
Alternative Name
- PRMT9 / PRMT10
-
Background
-
Name/Gene ID: PRMT9
Synonyms: PRMT9, PRMT10 -
Gene ID
- 90826
Target
-