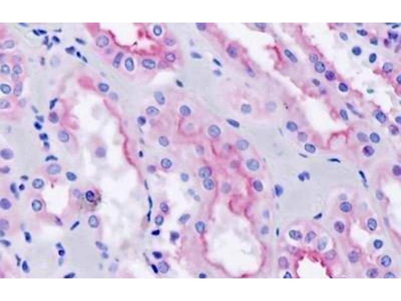
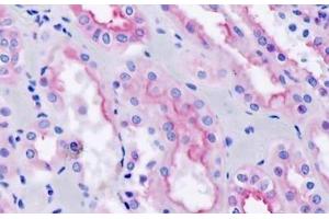
RAB4B antibody (AA 29-58)
Quick Overview for RAB4B antibody (AA 29-58) (ABIN2578025)
Target
See all RAB4B AntibodiesReactivity
Host
Clonality
Conjugate
Application
-
-
Binding Specificity
- AA 29-58
-
Specificity
- This RAB4B antibody is generated from rabbits immunized with a KLH conjugated synthetic peptide between 29-58 amino acids from the N-terminal region of human RAB4B.
-
Purification
- Protein A purified
-
-
-
-
Application Notes
- Approved: IHC, IHC-P (5 μg/mL), WB (1:1000)
-
Comment
-
Target Species of Antibody: Human
-
Restrictions
- For Research Use only
-
-
-
Format
- Liquid
-
Concentration
- Lot specific
-
Buffer
- PBS with 0.09 % (w/v) sodium azide
-
Preservative
- Sodium azide
-
Precaution of Use
- This product contains Sodium azide: a POISONOUS AND HAZARDOUS SUBSTANCE which should be handled by trained staff only.
-
Storage
- 4 °C,-20 °C
-
Storage Comment
- Maintain refrigerated at 2-8°C for up to 6 months. For long term storage store at -20°C.
-
Expiry Date
- 6 months
-
-
- RAB4B (RAB4B, Member RAS Oncogene Family (RAB4B))
-
Alternative Name
- RAB4B
-
Background
-
Name/Gene ID: RAB4B
Subfamily: RAS oncogene
Family: Ras GTPase superfamily IPR001806
Synonyms: RAB4B, Ras-related protein Rab-4B -
Gene ID
- 53916
-
UniProt
- P61018
Target
-