DHRS9 antibody (HRP)
Quick Overview for DHRS9 antibody (HRP) (ABIN2598437)
Target
See all DHRS9 AntibodiesReactivity
Host
Clonality
Conjugate
Application
-
-
Specificity
- Human DHRS9
-
Purification
- Caprylic acid and ammonium sulfate precipitation
-
Immunogen
-
Recombinant human Dehydrogenase/reductase SDR family member 9 protein.
Type of Immunogen: Recombinant protein -
Isotype
- IgG
-
-
-
-
Application Notes
-
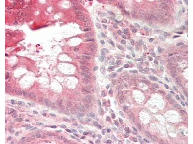
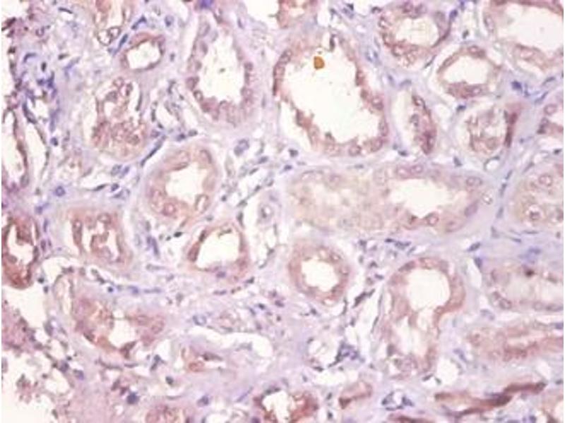
Approved: ELISA, IHC, IHC-P
Usage: The applications listed have been tested for the unconjugated form of this product. Other forms have not been tested. -
Comment
-
Target Species of Antibody: Human
-
Restrictions
- For Research Use only
-
-
-
Format
- Liquid
-
Concentration
- Lot specific
-
Buffer
- PBS, pH 7.4, 0.03 % Proclin 300, 50 % glycerol.
-
Preservative
- ProClin
-
Precaution of Use
- This product contains ProClin: a POISONOUS AND HAZARDOUS SUBSTANCE which should be handled by trained staff only.
-
Handling Advice
- Avoid freeze-thaw cycles.
-
Storage
- -20 °C,-80 °C
-
Storage Comment
- Aliquot and store at -20°C or -80°C. Avoid freeze-thaw cycles.
-
-
- DHRS9 (Dehydrogenase/reductase (SDR Family) Member 9 (DHRS9))
-
Alternative Name
- DHRS9
-
Background
-
Name/Gene ID: DHRS9
Synonyms: DHRS9, 3-alpha-HSD, 3ALPHA-HSD, RDH-E2, RDHL, RDH15, Retinol dehydrogenase homolog, RDH-TBE, RETSDR8, SDR9C4 -
Gene ID
- 10170
-
Pathways
- C21-Steroid Hormone Metabolic Process
Target
-