ASIC1 antibody (C-Term)
Quick Overview for ASIC1 antibody (C-Term) (ABIN2613387)
Target
See all ASIC1 (ACCN2) AntibodiesReactivity
Host
Clonality
Conjugate
Application
Grade
-
-
Binding Specificity
- C-Term
-
Purpose
- ASIC1
-
Sequence
- NILPHHPARG T
-
Specificity
- This antibody is expected to recognize all reported isoforms (NP_064423.2, NP_001086.2, NP_001243759.1).
-
Cross-Reactivity
- Cow, Dog, Human, Mouse, Pig, Rat
-
Purification
- Purified from goat serum by ammonium sulphate precipitation followed by antigen affinity chromatography using the immunizing peptide.
-
Isotype
- IgG
-
-
-
-
Application Notes
-
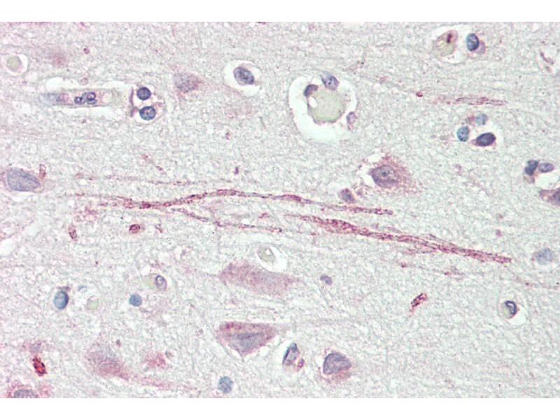
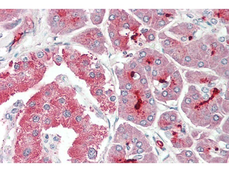
Immunohistochemistry: Paraffin embedded Human Brain (Cortex) and Pancreas. Recommended concentration: 5 μg/mL.
Western Blot: Approx 70 kDa band observed in Mouse fetal Brain lysates (calculated MW of 64.8 kDa according to NP_064423.2). Recommended concentration: 0.3-1 μg/mL. Primary incubation was 1 hour.
Peptide ELISA: antibody detection limit dilution 1:128000.
-
Restrictions
- For Research Use only
-
-
-
Format
- Liquid
-
Concentration
- 0.5 mg/mL
-
Buffer
- Supplied at 0.5 mg/mL in Tris saline, 0.02 % sodium azide, pH 7.3 with 0.5 % bovine serum albumin.
-
Preservative
- Sodium azide
-
Precaution of Use
- This product contains Sodium azide: a POISONOUS AND HAZARDOUS SUBSTANCE which should be handled by trained staff only.
-
Handling Advice
- Minimize freezing and thawing.
-
Storage
- -20 °C
-
Storage Comment
- Aliquot and store at -20°C, with minimal freeze/thawing. A working aliquot may be refrigerated at 4°C for a few weeks and still remain viable.
-
-
- ASIC1 (ACCN2) (Amiloride-Sensitive Cation Channel 2, Neuronal (ACCN2))
-
Alternative Name
- ASIC1
-
Background
- ASIC1, acid-sensing (proton-gated) ion channel 1, ACCN2, ASIC, BNaC2, Cation channel, amiloride-sensitive, neuronal, 2, acid-sensing ion channel 1, acid-sensing ion channel 1a protein, amiloride-sensitive cation channel 2, neuronal, brain sodium channel 2
-
Gene ID
- 41, 11419, 79123
-
NCBI Accession
- NP_064423, NP_001086, NP_001243759
Target
-