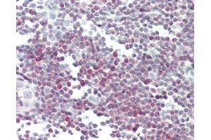
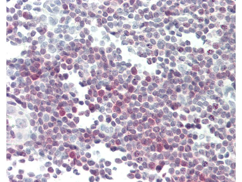
GIMAP4 antibody
Quick Overview for GIMAP4 antibody (ABIN2621320)
Target
See all GIMAP4 AntibodiesReactivity
Host
Clonality
Conjugate
Application
Clone
-
-
Specificity
- Human GIMAP4
-
Purification
- Protein A/G purified
-
Immunogen
-
Full length human recombinant protein of human GIMAP4(NP_060796) produced in HEK293T cell.
Type of Immunogen: Recombinant protein -
Isotype
- IgG2a
-
-
-
-
Application Notes
- Approved: Flo (1:100), IF (1:100), IHC, IHC-P (10 μg/mL), WB (1:2000)
-
Comment
-
Target Species of Antibody: Human
-
Restrictions
- For Research Use only
-
-
-
Format
- Liquid
-
Concentration
- Lot specific
-
Buffer
- PBS, pH 7.3, 1 % BSA, 50 % glycerol, 0.02 % sodium azide
-
Preservative
- Sodium azide
-
Precaution of Use
- This product contains Sodium azide: a POISONOUS AND HAZARDOUS SUBSTANCE which should be handled by trained staff only.
-
Handling Advice
- Minimize freezing and thawing.
-
Storage
- -20 °C
-
Storage Comment
- Store at -20°C. Avoid freeze-thaw cycles.
-
-
- GIMAP4 (GTPase, IMAP Family Member 4 (GIMAP4))
-
Alternative Name
- GIMAP4
-
Background
-
Name/Gene ID: GIMAP4
Synonyms: GIMAP4, GTPase IMAP family member 4, GTPase, IMAP family member 4, HIMAP4, IAN-1, IAN1, Immunity associated protein 4, Immunity-associated protein 4, MSTP062, HIAN1, IMAP4 -
Gene ID
- 55303
-
NCBI Accession
- NP_060796
Target
-