USP7 antibody (C-Term)
Quick Overview for USP7 antibody (C-Term) (ABIN2629792)
Target
See all USP7 AntibodiesReactivity
Host
Clonality
Conjugate
Application
-
-
Binding Specificity
- AA 1050-1102, C-Term
-
Specificity
- Region between residue 1050 and the C-terminus (residue 1102) of human Ubiquitin Specific Peptidase 7 using the numbering given in entry NP_003461.1 (GeneID 7874).
-
Purification
- Immunoaffinity purified
-
Isotype
- IgG
-
-
-
-
Application Notes
-
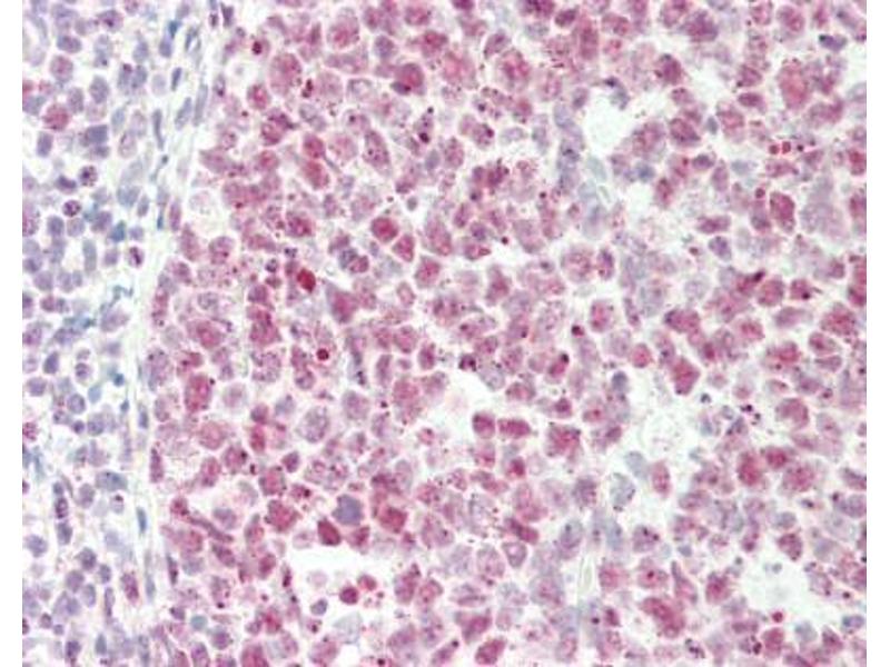
Approved: IF (1:250 - 1:1000), IHC, IHC-P (10 μg/mL), WB (1:500 - 1:10000)
Usage: Immunohistochemistry: Antigen retrieval with citrate buffer pH 6.0 is recommended for FFPE tissue sections. Human controls: Breast Carcinoma, Lung Adenocarcinoma, Ovarian Carcinoma, Prostate Carcinoma, Stomach Adenocarcinoma.
Not recommended for: IP -
Comment
-
Target Species of Antibody: Human
-
Restrictions
- For Research Use only
-
-
-
Format
- Liquid
-
Concentration
- Lot specific
-
Buffer
- Tris-citrate/phosphate buffer, pH 7-8, 0.09 % sodium azide.
-
Preservative
- Sodium azide
-
Precaution of Use
- This product contains Sodium azide: a POISONOUS AND HAZARDOUS SUBSTANCE which should be handled by trained staff only.
-
Storage
- 4 °C
-
Storage Comment
- Store at 2-8°C for up to 1 year.
-
Expiry Date
- 12 months
-
-
- USP7 (Ubiquitin Specific Peptidase 7 (Herpes Virus-Associated) (USP7))
-
Alternative Name
- USP7 / HAUSP
-
Background
-
Name/Gene ID: USP7
Subfamily: Cysteine C19
Family: Protease
Synonyms: USP7, Deubiquitinating enzyme 7, HAUSP, TEF1, Ubiquitin specific protease 7, Ubiquitin thioesterase 7 -
Gene ID
- 7874
Target
-