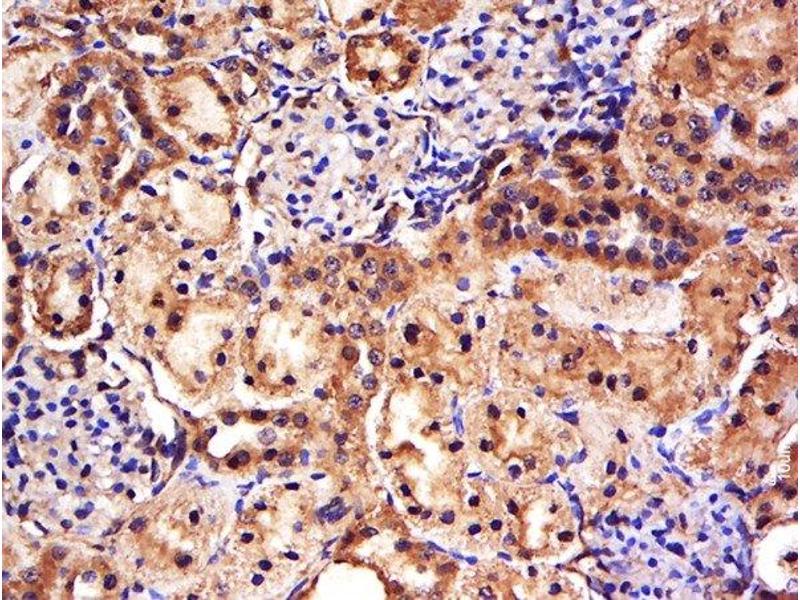
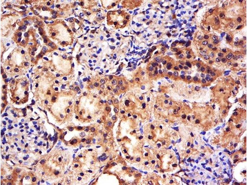
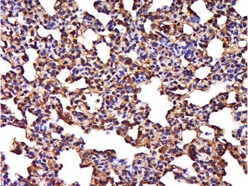
FAM171A1 antibody (AA 201-300)
Quick Overview for FAM171A1 antibody (AA 201-300) (ABIN2690131)
Target
Reactivity
Host
Clonality
Conjugate
Application
-
-
Binding Specificity
- AA 201-300
-
Cross-Reactivity
- Rat
-
Predicted Reactivity
- Human,Mouse,Dog,Cow,Sheep,Horse
-
Purification
- Purified by Protein A.
-
Immunogen
- KLH conjugated synthetic peptide derived from human FAM171A1
-
Isotype
- IgG
-
-
-
-
Application Notes
-
ELISA 1:500-1000
IHC-P 1:200-400
IHC-F 1:100-500
IF(IHC-P) 1:50-200
IF(IHC-F) 1:50-200
IF(ICC) 1:50-200
ICC 1:100-500 -
Restrictions
- For Research Use only
-
-
-
Format
- Liquid
-
Concentration
- 1 μg/μL
-
Buffer
- 0.01M TBS( pH 7.4) with 1 % BSA, 0.02 % Proclin300 and 50 % Glycerol.
-
Preservative
- ProClin
-
Precaution of Use
- This product contains ProClin: a POISONOUS AND HAZARDOUS SUBSTANCE, which should be handled by trained staff only.
-
Storage
- 4 °C,-20 °C
-
Storage Comment
- Shipped at 4°C. Store at -20°C for one year. Avoid repeated freeze/thaw cycles.
-
Expiry Date
- 12 months
-
-
- FAM171A1 (C10ORF38) (Chromosome 10 Open Reading Frame 38 (C10ORF38))
-
Alternative Name
- FAM171A1
-
Background
-
Synonyms: C10orf38, Protein FAM171A1, Astroprincin, FAM171A1
Background: Astroprincin.
-
Gene ID
- 221061
-
UniProt
- Q5VUB5
Target
-