Phone:
+1 877 302 8632
Fax:
+1 888 205 9894 (Toll-free)
E-Mail:
orders@antibodies-online.com

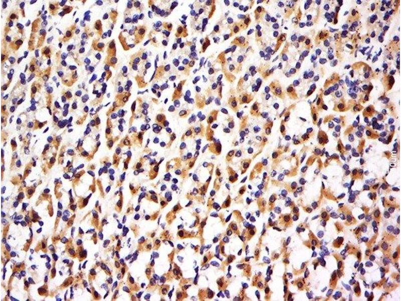
FBXO48 antibody (AA 61-155)

The Rabbit Polyclonal anti-FBXO48 antibody (ABIN2690142) specifically detects FBXO48 in IF (cc), IF (p), ELISA, IHC (fro), IHC (p) and ICC. The antibody is reactive with Rat samples.
Catalog No. ABIN2690142
$384.62
Plus shipping costs $50.00
100 μL
Shipping to: United States
Delivery in 4 to 7 Business Days

Quick Overview for FBXO48 antibody (AA 61-155) (ABIN2690142)

Target

See all FBXO48 Antibodies
FBXO48 (F-Box Protein 48 (FBXO48))

Reactivity

Rat

Host

  • 14
Rabbit

Clonality

  • 14
Polyclonal

Conjugate

  • 1
  • 1
  • 1
  • 1
  • 1
  • 1
  • 1
  • 1
  • 1
  • 1
  • 1
  • 1
  • 1
  • 1
This FBXO48 antibody is un-conjugated

Application

Immunofluorescence (Cultured Cells) (IF (cc)), Immunofluorescence (Paraffin-embedded Sections) (IF (p)), ELISA, Immunohistochemistry (Frozen Sections) (IHC (fro)), Immunohistochemistry (Paraffin-embedded Sections) (IHC (p)), Immunocytochemistry (ICC)
You are here:
Chat with us!